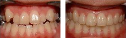
牙列不齐对比照片:


牙列不齐介绍:
牙列不齐
病症牙齿不齐又称错颌畸形,是指儿童在生长发育过程中,由先天的遗传因素或后天的环境因素导致的牙齿、颌骨、颅面的畸形。牙齿不齐主要包括:牙齿排列不齐、上下牙弓间的颌关系异常、颌骨大小形态位置异常等等牙齿不整齐现象。>>>点击免费咨询,或者拨打24小时齿科健康热线0591-88681777咨询,贝臣齿科医师为您解答!
危害
1、严重影响口腔功能的正常发挥:主要是对咀嚼、发音、吞咽、呼吸功能造成影响。
2、严重影响牙周组织健康及口腔卫生:牙列不齐一方面使口腔菌斑易于附着,另一方面因牙刷难于接触而不易清洁,因而牙周组织,如牙龈、牙槽骨极易产生炎症,出现牙龈肿胀、出血、口腔异味等症状,久而久之严重累及牙槽骨,出现牙齿松动、脱落现象。
3、严重影响颜面部生长发育:牙齿在整个颜面部生长发育过程中起着极为重要的作用,通俗地讲,正常发育排列的牙齿,对颌面部高度、深度及宽度的正常生长有着类似于“支架”的作用。
4、严重影响心理健康:牙齿排列不齐、牙齿错颌畸形的患者长期处在被嘲笑、被讥讽的环境中将对其成长造成严重影响。若不得到及时矫正,长大后还会因此背上沉重的精神包袱,以致在婚姻、社交、工作职业选择上遇到重重障碍。
科研临床治疗方法
德国仿生美容冠
技术详解
德国仿生美容冠源于德国多年齿科技术,"仿生牙冠"模拟真牙的密度、结构、压强、再生功能,在牙齿自然进化和再生进化中谋求统一,在真牙与仿生牙之间达到融合。获得很多明星青睐,"仿生美容冠"美誉在各处传播。仿生美容冠的出现,是齿科发展史上的一个突破,牙齿美容进行仿生时代!>>>点击详细了解贝臣齿科德国仿生美容冠技术<<<

技术优势
(1)专业美牙设计师个性设计,美丽不可模仿;
(2)德国3D全景机扫描,数据分析,科学定位;
(3)德国齿雕工艺,32种比色、38道工艺只出精品;
(4)仿生材料,色泽逼真、透度自然,媲美真牙;
(5)改变牙齿同时改善脸型、唇形,美丽一举两得;
(6)仿生再生功能,与真牙高度融合,寿命更持久;
(7)仅需7天,来院两次即可轻松拥有明星般美牙。>>>还有不明白的,点击免费咨询,或者拨打24小时贝臣美牙热线0591-88681777咨询,贝臣齿科医师为您解答!
牙列不齐常见问题:
1、哪些原因会导致牙齿不齐?
贝臣齿科:乳牙早失、不良习惯、多生牙、先天性缺失牙、乳牙滞留等原因都会导致牙齿不齐。
2、牙齿不齐对脸形有影响吗?
贝臣齿科:牙齿不齐对脸形也是有影响的,牙齿不齐会导致牙龈外露过多、上颌前突、下颌后缩等现象,均对脸型有影响。
3、我已经35岁了,牙齿不齐还能矫正吗?
贝臣齿科:目前牙科技术已经相当成熟,牙齿不齐矫正并没有年龄限制,贝臣齿科率先引进的德国仿生美容冠技术仅需1小时即刻塑造整齐牙齿,效果是非常好的。
牙列不齐相关资讯: