牙齿美容

  贝臣齿科拥有的德国仿生美容冠,突破传统烤瓷牙的各种弊端,强调牙齿的美容效果,采用国内贴面技术,对形态、结构、排列或者颜色等异常牙体,无需拔牙就可达到修复牙体和美白的双重功效,美牙终身有保障。

推荐阅读

镶牙的价格是多少

想要具体了解 镶牙的价格是多少 ? 点击【在线咨询】直接问医生!方便!快捷 ! 牙齿的缺失... [详细]

贝臣独家牙齿美容技术

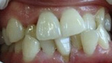
牙齿美容修复前后对比图 — 治疗前后效果直观呈现

 
  • 四环素牙前后对比

  • 虎牙前后对比

  • 美容冠前后对比

  • 四环素牙前后对比

  • 虎牙前后对比

  • 美容冠前后对比

  • 四环素牙前后对比

  • 虎牙前后对比

  • 美容冠前后对比