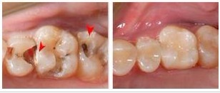
蛀牙是我们日常生活中比较常见的一种牙齿疾病,而多数蛀牙在童年时期都已经形成,而小孩子的蛀牙很多时候并没有收到家长的足够重视,总觉得迟早会换牙,换完牙就好了。在此贝臣齿科医生提醒:其实蛀牙的危害非常大,不能因为换牙而置之不理,一旦发现蛀牙就要及时进行治疗。 >>>点击免费咨询,或者拨打24小时齿科健康热线0591-88681777咨询,贝臣齿科为您解答!

根据贝臣齿科医生介绍,由于补牙材料不同,价格也不同,牙齿受蛀牙侵害的程度不同,价格也不同。牙齿损坏的程度一般按牙洞的大小来定义,一般的口腔科补牙同一种补牙的材料,医生会根据牙洞的大小来定补牙的价格,所以如果你发现自己有了牙洞,一定要尽早治疗,否则牙洞发展的越来越大,补牙的价格也越来越贵。 >>>点击咨询,详细了解关于蛀牙!
如果牙齿坏到了一定程度,就不是单纯的补牙就可以了,需要根管治疗,其价格也不会很贵,根据牙位不同和地区差异。前牙一般只有一个牙根,操作起来也比较简单,收费比较低,后牙牙根比较多,有的时候能达到三到四个牙根,而且操作起来也比较困难,所以这样的补牙的价格就比较高了。

>>>文字看累了?点击直接免费咨询吧!<<<
贝臣齿科医生提醒:无论蛀牙是通过一般简单的补牙,还是通过根管治疗后再补牙,都会有不同的补牙材料供顾客选择。儿童的补牙材料相对于成人补牙要低廉。成人的补牙材料多为树脂材料,价格比较贵,分为国产和进口的材料,又根据其特性分为许多种,所以价格也不同。
蛀牙对我们的牙齿还是有很大的影响,尤其是严重的牙痛让人难以忍受了。牙齿内部神经是多罪名的,为了避免造成牙齿疼痛,还是要尽早进行治疗的。 >>>还有不明白的,点击免费咨询,或者拨打24小时贝臣美牙热线0591-88681777咨询,贝臣齿科医生为您解答!
在线咨询(免费咨询)在线近距离