你知道种植牙为什么这么贵吗
来源:贝臣齿科
2014-11-30 17:09
进入答疑区
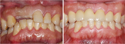
    种植牙为什么这么贵?种植牙由于其具有无可比拟的优越性,被越来越多的人所接受,被医学界誉为“人类的第三幅牙齿”,种植牙的价钱始终是大家比较关心的,但种植牙为什么这么贵呢?下面我们跟随贝臣齿科种植首席医生罗维明博士来一起揭开种植牙价格的神秘面纱。
 

    罗维明博士解释,种植牙的价格贵,主要是与以下四个因素有关:
 
    一、种植体材料成本相对较高
 
    种植体(人工牙根)为特殊的航天材料(纯钛)制作,之所以采用纯钛,是因为纯钛的生物相容性好,与人体没有排异,可以与牙槽骨组织紧密结合、坚固耐用。
 
    贝臣齿科所有的种植体均由国外进口,是在国家药监局登记注册的医疗专用材料。种植体种类多样,在费用方面,种植体价格有几千到上万不等,可以满足各类人群的要求。
 
    二、种植医生是关键
 
    要成为一名 的种植修复医生,不仅要经过临床工作中大量的学习和积累,更要具备外科手术经验。 的种植医生会为顾客量身制定合理的治疗计划,严格操作规范、控制手术创伤、减少手术风险,所以说医生的水平是种植成功的关键。
 
    贝臣齿科汇聚德、英、美、韩、中等世界各国经验丰富的牙科医生,每一位医生都具备有20年以上的临床经验,真正实现微创种牙,保障每一位顾客的种植效果都是适合好的。预约贝臣 国内种植医生,名额有限,点击咨询


 
    三、种植牙手术硬件成本高
 
    种植手术虽然创伤不大,但毕竟是一项手术治疗,对于手术的设施、用具等都有特殊无菌消毒要求,这就意味着医疗机构在院感控制上会有相应的成本投入。另外,开展种植牙治疗还需要配备特殊的设备、器械、辅助工具等。这些都会成为影响种植牙费用的因素。
 
    贝臣齿科拥有数十台德国西诺德牙床、口腔全景CT及多台 国内 医疗设备,东南地区率先开展 国内标准层流净化种植手术室,看牙,行业领先。
 
    四、种植牙手术软性成本高
 
    种植牙手术前医生要为顾客拍摄?X?光片,检查牙齿的缺失情况确定治疗方案,同时,还需测量顾客体温、血压、血糖等体征指标来掌握顾客身体情况;手术后密切观察顾客的术后反应跟进及控制。而这一系列的工作,必须有一支、规范、有足够服务意识的医护团队才能更好地完成。
 
    贝臣齿科看牙享受私人化定制一对一服务:医生预约、医生亲诊、保健沙龙、私人牙医、复诊提示等,让每一次看牙之旅都能格外感到轻松愉悦、与众不同。种植牙新优惠信息,点击询问在线医生


 
    看牙革命性突破,行业领先
 
    贝臣齿科德国精工牙种植系统可以对种植牙方案设计、种植体选择、手术过程等每个细节都能做到模拟种植、精确定位,使患者在微创、、舒适的状态下,轻松再"长"新牙。
 
    —全数字化立体显像,种牙更精确
 
    —无需传统翻掰手术,全程
 
    —精准深植,可实现
 
    贝臣齿科承诺阳光收费,价格诚信
 
    收费不仅是医患关系的核心,更彰显了一家医院是否真心实意地为百姓服务,凸显诚信问题。在收费方面,一些医院似乎总是遮遮掩掩,让顾客“雾里看花”,贝臣齿科 国内连锁作为高端的口腔服务行业领先品牌,敢于直面尖锐的问题,率先建立完善的收费制度,真正做到透明收费,让百姓放心就诊的同时,也为自己赢得了珍贵的口碑。
 
 
    贝臣齿科 国内连锁严格按国家卫生部及物价部门标准统一收费,公开透明的收费制度,让顾客明明白白看病。还有不明白的,点击免费咨询,或者拨打24小时贝臣美牙热线0591-88681777咨询,贝臣齿科医生为您解答!

温馨提示:
病情因人而异,以上信息仅供参考,请您一定到专业正规医院,接受医生的诊断与治疗。贝臣齿科提供网络咨询预约平台,可以向在线人员咨询您的情况。

在线咨询预约医生

在线咨询(免费咨询)在线近距离

点击右侧按钮查看其它视频
点击右侧按钮查看其它视频

24H免费咨询电话

贝臣节假日无休

福州贝臣齿科 — 专做口腔

福州贝臣齿科是卫生部门批准成立的专业口腔诊疗机构。在全国各大城市CBD商务核心区...[详细]

推荐医生

  • 阿诺德·马丁贝臣齿科(中

  • 穆素花贝臣世茂院技

  • 林劲松贝臣世茂院牙

  • 陈振林贝臣世茂院正

  • 阿诺德·马丁贝臣齿科(中

  • 穆素花贝臣世茂院技

  • 林劲松贝臣世茂院牙

  • 陈振林贝臣世茂院正

口腔热门项目推荐

  • 牙齿种植
  • 牙齿矫正
  • 牙齿修复
  • 牙齿美白
  • 无痛治疗
  • 儿童齿科

来院路线

来院路线
地址:福州世茂国际中心1号楼3层(地铁茶亭站D出口)