种植牙冠的种类有哪些
来源:贝臣齿科
2017-02-18 14:12
进入答疑区

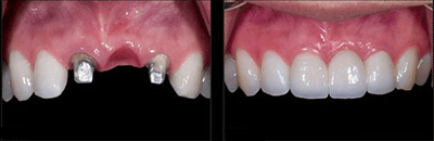
  想要具体了解种植牙冠的种类有哪些 点击【在线咨询】直接问医生!方便!快捷!种植牙是目前一种较为流行修复牙齿缺失有效的治疗方法,它因为固位稳定、咀嚼能力强、舒适美观的特点而受到患者的推崇。大家都很熟悉,种植牙包括牙植骨和种植牙牙冠两大部分,那么,种植牙冠的种类有哪些?直接与医院在线医师一对一通话,方便!快捷!了解详情就医指导。
 


 

  非贵金属种植牙牙冠
 

  种植牙的寿命的长短主要取决于种植牙牙冠的好坏。因此很多患者对种植牙冠的种类相当的关心。种植牙牙冠的种类都有哪些呢?根据种植牙牙冠所使用的材料不同,可分非贵金属牙冠、为贵金属牙冠和全瓷牙冠三大门类。非贵金属牙冠常见的主要有镍铬合金烤瓷牙,钛合金烤瓷牙,钴铬合金烤瓷牙,纯钛烤瓷牙等。非贵金属牙冠是较先被用来修复牙齿的种植牙冠,这种牙冠正规的缺点是生物兼容性不佳,其金属内冠可渗透出有害粒子,影响牙周健康。此外其透光性能不好,还会出现牙龈黑线,所以美观效果也不是很好。
 


 

  种植牙的常用牙冠——贵金属烤瓷牙冠和全瓷烤瓷牙冠
 

  种植牙牙冠类型中,贵金属牙冠市场上主要是钯银烤瓷牙,钯金烤瓷牙,86%黄金烤瓷牙,99%金沉积烤瓷牙等。虽然生物兼容性和美观性都比非贵金属牙冠来的更佳,但是其价格比较昂贵,不是一般消费者所能轻易承受。点这里,直接预约医生!方便快捷!
 

  目前,使用较为广泛的种植牙牙冠是全瓷牙牙冠。全瓷牙牙冠常见的有氧化铝全瓷牙,铸瓷全瓷牙,二氧化锆全瓷牙。比较而言,全瓷种植牙冠价格比较适中,而且它的生物兼容性和美观性几乎可以用惊喜来形容。全瓷牙冠所使用的全瓷材料是一种不仅十分坚固而且不会对口腔组织造成损害的材料,并且透光性能十分优越,不会出现黑影。
 

  具体采用哪种牙冠对缺失的牙齿进行修复,还要根据患者自身的经济条件和牙齿口腔状况来制定。毕竟适合自己的才是让人满意的。不过,明显可以看出,全瓷牙冠质量更好。 还有不明白的,点击免费咨询,或者拨打24小时贝臣美牙热线0591-88681777咨询,贝臣齿科医生为您解答!

温馨提示:
病情因人而异,以上信息仅供参考,请您一定到专业正规医院,接受医生的诊断与治疗。贝臣齿科提供网络咨询预约平台,可以向在线人员咨询您的情况。

在线咨询预约医生

在线咨询(免费咨询)在线近距离

点击右侧按钮查看其它视频
点击右侧按钮查看其它视频

24H免费咨询电话

贝臣节假日无休

福州贝臣齿科 — 专做口腔

福州贝臣齿科是卫生部门批准成立的专业口腔诊疗机构。在全国各大城市CBD商务核心区...[详细]

推荐医生

  • 阿诺德·马丁贝臣齿科(中

  • 穆素花贝臣世茂院技

  • 林劲松贝臣世茂院牙

  • 陈振林贝臣世茂院正

  • 阿诺德·马丁贝臣齿科(中

  • 穆素花贝臣世茂院技

  • 林劲松贝臣世茂院牙

  • 陈振林贝臣世茂院正

口腔热门项目推荐

  • 牙齿种植
  • 牙齿矫正
  • 牙齿修复
  • 牙齿美白
  • 无痛治疗
  • 儿童齿科

来院路线

来院路线
地址:福州世茂国际中心1号楼3层(地铁茶亭站D出口)