种植的假牙一般能用多久
来源:贝臣齿科
2017-02-27 14:14
进入答疑区

  想要具体了解种植的假牙一般能用多久 点击【在线咨询】直接问医生!方便!快捷!失牙是大家必然会遇到的事情,而年纪较大的人群失牙的可能性、失牙的颗数都会超过青年人,这是值得我们警惕的。而失牙之后,我们如果早点去做假牙,可以避免危害的发生,种植牙是当今牙齿修复的佼佼者,那么,种植的假牙一般能用多久?直接与医院在线医师一对一通话,方便!快捷!了解详情就医指导。
 


 

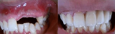
  大家都知道牙齿的重要性是难以替代的。缺牙不仅加重胃肠道负担,造成生理上的缺陷,带来心理上的损害,目前,在牙齿修复术中,种植假牙较好,已经成为当今缺牙镶牙的先进选择。点这里,直接预约医生!方便快捷!
 

  种植的假牙一般能用多久?这是大家都很关注的问题。我们知道,各类义齿都是有寿命的,真牙尚且有使用时间,遑论假牙。传统义齿的寿命较短,一般只有几年时间,而种植的假牙寿命很长,一般都在多年左右。而如果使用得当的话,良好的种植牙是可以使用多年的,这点已经得到了验证。
 


 

  随着现代缺牙镶牙术的发展,种植牙也在不断地更新中。其中,先进的微创种植术在近年来已经发展的很成熟,目前新一代欧洲种植体就越来越个性化,越来越舒适在,德国西诺德牙科设备的辅助下,咬合关系有效建立,可有效到几毫米,出血少,降低了手术难度。即使是年龄比较大的朋友,也可以选择种植牙进行修复,几乎很难有问题。种植牙要多长时间
 

  种植假牙要选择正规的口腔医院,检查、手术、术后维护会更加重要,消毒环节层层把关,例如医保定点单位——贝臣齿科,使用微创种植体,采用国外进口麻醉术,真正达到微创效果,特别适合中老年人种植假牙。 还有不明白的,点击免费咨询,或者拨打24小时贝臣美牙热线0591-88681777咨询,贝臣齿科医生为您解答!

温馨提示:
病情因人而异,以上信息仅供参考,请您一定到专业正规医院,接受医生的诊断与治疗。贝臣齿科提供网络咨询预约平台,可以向在线人员咨询您的情况。

在线咨询预约医生

在线咨询(免费咨询)在线近距离

点击右侧按钮查看其它视频
点击右侧按钮查看其它视频

24H免费咨询电话

贝臣节假日无休

福州贝臣齿科 — 专做口腔

福州贝臣齿科是卫生部门批准成立的专业口腔诊疗机构。在全国各大城市CBD商务核心区...[详细]

推荐医生

  • 阿诺德·马丁贝臣齿科(中

  • 穆素花贝臣世茂院技

  • 林劲松贝臣世茂院牙

  • 陈振林贝臣世茂院正

  • 阿诺德·马丁贝臣齿科(中

  • 穆素花贝臣世茂院技

  • 林劲松贝臣世茂院牙

  • 陈振林贝臣世茂院正

口腔热门项目推荐

  • 牙齿种植
  • 牙齿矫正
  • 牙齿修复
  • 牙齿美白
  • 无痛治疗
  • 儿童齿科

来院路线

来院路线
地址:福州世茂国际中心1号楼3层(地铁茶亭站D出口)