想要具体了解缺失牙对邻牙有影响么?
点击【在线咨询】直接问医生!方便!快捷!有不少人会发现如果缺失的牙齿长期不管,两边的牙齿也会出现各种各样的问题,严重的还会引起口腔健康问题。那么,缺失牙齿会对邻牙造成什么的影响?又应该如何治疗呢?

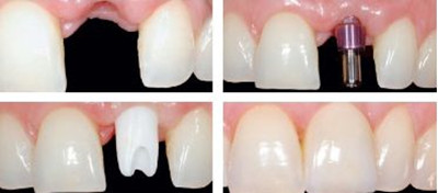
【缺失牙对邻牙的影响】
医生指出:牙齿承受的咀嚼力是有一定限度的,当个别牙齿缺失后,咀嚼力集中在余留牙上。由于咀嚼力超过了余留牙的承受限度,致使余留牙齿造成创伤而产生牙周膜水肿、牙龈萎缩、牙槽骨吸收、牙齿松动等牙周疾患。
点这里,直接预约医生!方便快捷!
如果长时间没有镶牙,可能会导致其相邻的真牙向这个缺牙空隙内倾斜、移位,缺牙空隙相对应的牙齿将因无对抗力量而逐渐伸长,咬合关系和牙齿排列出现错乱。致使剩余牙齿失去正常的邻接关系,造成食物嵌塞,亦是导致牙周病的病因之一,而牙周疾病是导致牙齿缺失的主要原因。
微创种植牙的优势
1、操作简便、安全性高
与进口人工种植手术复杂难掌握相比,微创种植牙操作比较简单,易学易懂,且不用开刀,不用翻瓣,不植骨,不损伤下齿槽神经,安全性大大提高。
2、价格低廉,适用度广
进口人工种植牙,一颗价格高达几万多块。给广大有意植牙者带来福音的同时,也设置了阻拦门槛。与之相比,国产微创植牙术价格低廉,门槛相对较低,适用人群更加广泛。
3、契合度高,植骨率低基于进口人工牙对牙槽骨的宽度、高度和厚度要求均较高,40%的人行种植牙时都要植骨。相对而言,采用微创种牙,对牙槽骨的要求就明显降低,无论行上、下颌磨牙哪种植,一般都不需要植骨。
在线咨询(免费咨询)在线近距离