想要具体了解种植牙的寿命是多少?
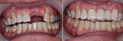
点击【在线咨询】直接问医生!方便!快捷!30岁牙龈出血,40岁牙齿松动,50岁拔牙,60岁掉牙,这是很多人牙齿命运的真实写照。面对这种状况,大多老年人会说“不行就再镶个牙呗”。但事实上,镶牙也是有讲究的,并不是一句话那么简单。老年人的身体不管是从主观还是可观分析,都是大不如以前,因此在镶牙上需要更加的细心。

老人镶牙要多少钱呢?
在之前的了解中,我们已经知道镶牙主要分为种植牙与烤瓷牙两种(活动假牙使用的范围比较窄,就不单独罗列了)
从一个大前提出发,老年人的身体情况,口腔现状,都需要经过专业的口腔CT以及数字化全景机检查,才能确定老人之后选择何种修复方式。
后期维护的费用,装上牙齿之后,我们更要注意牙齿的清洁,老年人由于经常疏忽,或者不方便清洁牙齿,这里我们建议一年到一年半可以到医院接受快速全口牙齿的清洁护理。费用大概在几百元左右。
老年人的身体是我们较关心的,因此在治疗上更需要精心,细致,不可以与青年人同等接诊,贝臣齿科全程导医陪护,减少老年人上下不便。
在线咨询(免费咨询)在线近距离