想要具体了解老人种牙需要注意什么?
点击【在线咨询】直接问医生!方便!快捷!人工种植牙齿和真牙基本一样,老年人也适合人工种植牙。由于老人体质问题,老年人做种植牙有些需要注意的。那么,老人种牙需要注意什么呢?

老人种牙需要注意什么
种植牙一般没有年龄上的限制,老年人也可以种植,但前提是 糖尿病、高血压、心脏病、脑血管病等老年人常见的慢性病都得到了很好的控制,口腔内还要保证没有炎症、黏膜病等。此外,相对于年轻人,老年人因常年佩戴假牙或是长时间患牙病,牙槽骨萎缩较严重,也会给种植带来困难。
点这里,直接预约医生!方便快捷!
在我国,老年人选择种植牙齿的并不多。原因之一是价格昂贵,种植一颗牙齿需花费差不多要几千元,且不属于医保报销范围,而老年人一般缺失多颗牙齿,上万元的费用老年人难以承受。
至于种植后使用年限,关系到种植体材料的选择、病人个体情况和种植后的护理等多种因素。一般来说,植入后的人工牙根不会更换,烤瓷的牙冠使用寿命理论上为5~8年,如果在此期出现异常,只需更换牙冠。
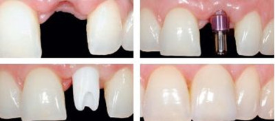
其实,种植牙的优点是咀嚼效率比传统假牙高,让您感觉很真实,酷似真牙。这是因为,镶装的假牙没有牙根支持,全口假牙及基托是骑跨在牙槽黏膜上,靠口腔唾液的吸附,容易活动;或是在邻牙做卡环固位或切割邻牙做牙冠固位,邻牙易受损伤。
如果您还有什么疑问的话,欢迎咨询在线医生,医生会为您提供详细的解答,并给您合理的建议,欢迎咨询预约!
在线咨询(免费咨询)在线近距离