福州植全口牙价格是多少
来源:贝臣齿科
2017-06-15 14:49
进入答疑区

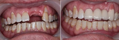
  想要具体了解福州植全口牙价格是多少 点击【在线咨询】直接问医生!方便!快捷牙齿缺失带给患者的影响是非常大的,特别是全口牙齿缺失,严重影响了患者的生活,好在医疗的快速发展,口腔修复方法是越来越多,植全口牙就是其中一种,那么福州植全口牙价格是多少呢?直接与医院在线医师一对一通话,方便!快捷!了解详情就医指导。
 


 

  福州植全口牙价格是多少
 

  有些人以为植全口牙是不是每一个牙齿缺失部位都植入种植牙,其实全口种植牙并不是所有的牙齿缺失部位都植入种植牙,而是通过一定数量种植体和烤瓷修复结合在一起就可以实现全口固定修复。因其没有传统活动义齿的基托,所以更加的舒适方便,同时因为是通过种植体直接植入到牙槽骨内,所以咀嚼功能比活动义齿再加强。是以,用种植牙镶全口牙要多少钱,主要看植入多少个种植体和选择哪种种植材料。
 


 

  福州植全口牙价格取决于种植牙的数量、种植体的类型以及种植体上方修复体的类型。
 

  植全口牙方案决定种植价格:每个人的口腔情况不一样,牙槽骨萎缩程度不一样,种植方案也不一样,种植方案决定种植牙的个数。每颗种植牙的价格是不一样的。因材料不同而不同。点这里,直接预约医生!方便快捷!
 

  烤瓷牙冠的不同价格也不一样:烤瓷牙冠会被安装在种植体上,形成假牙的形态。烤瓷牙冠分全瓷牙冠、贵金属烤瓷牙冠、普通金属烤瓷牙冠。材料不同,硬度和美观都不同,价格也不一样。

温馨提示:
病情因人而异,以上信息仅供参考,请您一定到专业正规医院,接受医生的诊断与治疗。贝臣齿科提供网络咨询预约平台,可以向在线人员咨询您的情况。

在线咨询预约医生

在线咨询(免费咨询)在线近距离

点击右侧按钮查看其它视频
点击右侧按钮查看其它视频

24H免费咨询电话

贝臣节假日无休

福州贝臣齿科 — 专做口腔

福州贝臣齿科是卫生部门批准成立的专业口腔诊疗机构。在全国各大城市CBD商务核心区...[详细]

推荐医生

  • 阿诺德·马丁贝臣齿科(中

  • 穆素花贝臣世茂院技

  • 林劲松贝臣世茂院牙

  • 陈振林贝臣世茂院正

  • 阿诺德·马丁贝臣齿科(中

  • 穆素花贝臣世茂院技

  • 林劲松贝臣世茂院牙

  • 陈振林贝臣世茂院正

口腔热门项目推荐

  • 牙齿种植
  • 牙齿矫正
  • 牙齿修复
  • 牙齿美白
  • 无痛治疗
  • 儿童齿科

来院路线

来院路线
地址:福州世茂国际中心1号楼3层(地铁茶亭站D出口)