种植牙术后效果怎么样
来源:贝臣齿科
2017-06-26 15:44
进入答疑区

  想要具体了解种植牙术后效果怎么样 点击【在线咨询】直接问医生!方便!快捷上了年纪的老人牙齿更容易缺失加之抵抗力下降,此时牙齿不及时修复必然会引起肠胃功能的不适,因此一定要及时对缺失的牙齿进行修复。种植牙修复就是其中一种,那么种植牙修复牙齿后效果如何呢?直接与医院在线医师一对一通话,方便!快捷!了解详情就医指导。
 


 

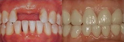
  种植牙术后效果怎么样
 

  种植牙是目前比较受欢迎的一种牙齿修复方式,人们牙齿缺失以后应该及时的进行修复。采用这种种植牙修复效果很好,种植牙术后外形美观精致的同时又不损伤原有牙列,生物相容性极好,而且种植牙能够完全与真牙相媲美,能够大限度恢复正常咀嚼功能,真正成为人类的第三副牙齿。点这里,直接预约医生!方便快捷!
 

  种植牙术是当前口腔修复领域一个重要课题,针对种植牙术受众面的增加,不能把种植牙术作为单纯的植种义齿,它是一个系统工程,从种植到维护,保证每个环节的质量,才能有终治疗效果,问题是许多环节被忽视了,从而导致种植牙术水平不高。
 


 

  口腔种植牙修复是由很多环节构成的。从大的方面说,除了病人的口腔条件和采用的种植系统外,还有种植设计、种植方法、取印模、灌模型等环节。如果将口腔种植看成一个系统的话,上述各个相互关连、相互作用的环节构成了一个整体,且各个环节又都具有自己的作用,后合成种植牙的功能。也就是说,口腔种植牙的效果如何,就是由上述各个环节中效果差的环节所决定的。比如,即使病人的口腔条件合适,采用的种植系统先进,种植设计得当、种植方法正确、医生的技术很好、印模质量高、模型灌得好,但只要义齿加工或日后维护等环节做得不到位,种植牙的效果仍然会很差。
 

  总之,经过种植牙修复后的缺失牙,效果都更加理想。种植牙可以实现美观漂亮、自然逼真,保证咀嚼功能的持久效果,并有利于保持口腔清洁卫生,有利于骨骼的整体保护,使广大患者拥有一口整齐美丽的牙齿。如果您还有什么疑问的话,欢迎咨询在线医生,医生会为您提供详细的解答,并给您合理的建议,欢迎咨询预约!

温馨提示:
病情因人而异,以上信息仅供参考,请您一定到专业正规医院,接受医生的诊断与治疗。贝臣齿科提供网络咨询预约平台,可以向在线人员咨询您的情况。

在线咨询预约医生

在线咨询(免费咨询)在线近距离

点击右侧按钮查看其它视频
点击右侧按钮查看其它视频

24H免费咨询电话

贝臣节假日无休

福州贝臣齿科 — 专做口腔

福州贝臣齿科是卫生部门批准成立的专业口腔诊疗机构。在全国各大城市CBD商务核心区...[详细]

推荐医生

  • 阿诺德·马丁贝臣齿科(中

  • 穆素花贝臣世茂院技

  • 林劲松贝臣世茂院牙

  • 陈振林贝臣世茂院正

  • 阿诺德·马丁贝臣齿科(中

  • 穆素花贝臣世茂院技

  • 林劲松贝臣世茂院牙

  • 陈振林贝臣世茂院正

口腔热门项目推荐

  • 牙齿种植
  • 牙齿矫正
  • 牙齿修复
  • 牙齿美白
  • 无痛治疗
  • 儿童齿科

来院路线

来院路线
地址:福州世茂国际中心1号楼3层(地铁茶亭站D出口)