【口腔咨询】女、32岁 医生你好,我的一颗牙齿前不久被撞掉了,我想去做种植牙修复。所以想要咨询一下,福州做种植牙修复哪家医院效果好?

【贝臣齿科医生给予回复】
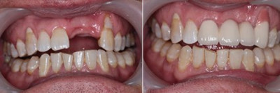
种植牙是目前牙科两大修复体之一,它的修复效果能比美真牙。是非常好的一种牙齿修复方法,但由于它对技术要求极为严格,所以说不是随便在哪个小医院或小诊所都能做的。贝臣齿科医生作为一家专业的口腔医院,拥有经验丰富的资深种植牙医生。能够保证种植牙手术的安全和效果。
点这里,直接预约医生!方便快捷!
医生会根据一个人的脸型确定一个口腔模型,根据口腔模型、牙的种植位置、周边牙齿的形态及密合程度量身定制每一颗种植牙。对邻牙不造成任何损伤,还可以预防牙齿缺失后牙槽骨继续萎缩,受到了广大患者的信赖。
微创,出血少,减轻患者痛苦
传统的植牙周期较长,通常在植入人工牙根2至3个月后,才安装牙冠牙桥的。而一些牙骨槽相对较薄的患者在做种植牙时,由于技术限制,往往被告之要先做创伤性较大的植骨手术;治疗时再做翻瓣手术,愈合也要耗费很多时间的。微创种植牙采用的是电脑导向微创植牙技术,避免了漫长的愈合期,大大减轻患者的痛苦。
技术先进,治疗时间短,术后不疼痛肿胀
微创植牙技术是基于当今 先进的三维成像检测术、电脑导航术、激光定位技术、即刻微创种植技术等前沿口腔科技术,一小时即可种出一口活牙,减少手术感染的风险。由于时间短,不须开刀,仅需将牙龈打开一个微孔,然后植入人工牙根,术后几乎不会疼痛和肿胀。
在线咨询(免费咨询)在线近距离