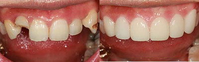
门牙掉了一小块
来源:贝臣齿科
2017-10-01 16:20
进入答疑区

  想要具体了解门牙掉了一小块 点击【在线咨询】直接问医生!方便!快门牙长在我们牙齿的较前端,如果缺了一小块的话肯定会对自己的形象造成比较大的影响,让自己难以在别人面前抬起头,不管是自拍还是与人留影之后,总是要用美图秀秀修饰一番才敢发到朋友圈,那么,这种尴尬到底如何解决呢?直接与医院在线医师一对一通话,方便!快捷!了解详情就医指导。
 


 

  门牙缺损的情况可以分为几个方面,所应采取的办法也是各不相同的,我们需要先做一个检查,看看缺损的部分是哪里,有没有伤到牙髓,才能采取较合适的办法。
 

  如果说缺损的部分并不大,可以采用较简单的补牙来解决。补牙材料有很多,其中主流的是复合树脂。复合树脂的美观性很显著,它与真牙的颜色接近,耐磨性与牙本质差不多,使用时间很长。点这里,直接预约医生!方便快捷!
 

  如果门牙缺损涉及到牙髓,那可能需要根管治疗。根管治疗的目的是清除死髓,阻止细菌对牙齿的进一步侵蚀。根管治疗的过程也并非固定,如果是前牙,就需要每次治疗20分钟左右,如果是后牙就需要治疗40分钟左右。
 


 

  如果缺块比较明显,难以用补牙简单掩盖,可以选择超薄瓷贴面或仿生全瓷冠的方式:
 

  超薄瓷贴面适用于牙齿缺损虽不严重,但是呈不连续几块的情况。超薄瓷贴面的磨牙量相对较少,对牙龈的刺激很小,如果是由经验丰富的医生操作,贴面边缘密合,并严格抛光,可以保持很好的牙龈健康状态,使用多年不脱落。
 

  仿生全瓷冠适用于牙齿基本功能受损的情况。它的范围很广泛,包括形态、结构、排列或者颜色等异常牙体,无需拔牙就可达到牙体修复和美白的双重功效,受到众多患者信赖。仿生全瓷冠用临床验证强度高达1400Mpa的材料制备,比真牙更坚固耐用。
 

  在正规的口腔医院,医生会根据缺牙的情况采取较合适的办法,能用简单程序解决就不用复杂手段,能用补牙完成就不选择全牙修复,而在一些小诊所,患者往往会连自己的病情轻重都不知道,就被引导着做了看似“高级”的美牙方式,而那些发方式并不一定适合每个人,如果操作失败还要进行二期甚至多次修复,给自己带来很大麻烦,所以,我们对自己的健康一定要认真负责,选择放心的医院。
 

温馨提示:
病情因人而异,以上信息仅供参考,请您一定到专业正规医院,接受医生的诊断与治疗。贝臣齿科提供网络咨询预约平台,可以向在线人员咨询您的情况。

在线咨询预约医生

在线咨询(免费咨询)在线近距离

点击右侧按钮查看其它视频
点击右侧按钮查看其它视频

24H免费咨询电话

贝臣节假日无休

福州贝臣齿科 — 专做口腔

福州贝臣齿科是卫生部门批准成立的专业口腔诊疗机构。在全国各大城市CBD商务核心区...[详细]

推荐医生

  • 阿诺德·马丁贝臣齿科(中

  • 穆素花贝臣世茂院技

  • 林劲松贝臣世茂院牙

  • 陈振林贝臣世茂院正

  • 阿诺德·马丁贝臣齿科(中

  • 穆素花贝臣世茂院技

  • 林劲松贝臣世茂院牙

  • 陈振林贝臣世茂院正

口腔热门项目推荐

  • 牙齿种植
  • 牙齿矫正
  • 牙齿修复
  • 牙齿美白
  • 无痛治疗
  • 儿童齿科

来院路线

来院路线
地址:福州世茂国际中心1号楼3层(地铁茶亭站D出口)