想要具体了解种植牙从开始做到完成要多长时间?
点击【在线咨询】直接问医生!方便!快捷!生活中总会有些小意外发生,冷不丁的意外可能就会给我们的正常生活造成很大困扰,比如不小心的摔倒,严重的情况就会导致牙齿缺失,非常难堪莫过于缺失的是正中间的门牙。门牙掉了一定是会给我们的外貌上大打折扣,更加介意的是影响了我们的正常交际和饮食。
直接与医院在线医师一对一通话,方便!快捷!了解详情就医指导。
门牙掉了后的影响有多大?牙齿的缺失对我们的影响主要可以从两方面来了解,功能性和美容性的危害。

美容性危害
1、可能引起颞下颌关节病变。长时间的缺损单侧牙齿还会养成偏侧咀嚼的习惯,从而出现面部不对称和关节症状。
2、牙齿缺损会影响面形,牙齿全部缺失后,整个人看起来会比同龄人苍老许多。
3、牙齿缺损会使人的发音变得不标准,影响人的交际活动。
4、牙齿缺损后,咀嚼功能就衰退影响人体对营养成分的吸收。

功能性危害
1、牙列的完整性遭到破坏:牙齿缺失后,若较长时间不修复,邻近的牙齿由于失去了依靠和约束,会变得倾斜,易造成咬颌功能的紊乱。
2、牙槽骨萎缩:牙缺失后正常咬颌力对牙槽骨的生理性刺激不复存在,牙槽骨均会出现不同程度的废用性萎缩,并且会给后期假牙修复及维持口腔颌面部的平衡和稳定带来巨大困难。
3、咀嚼功能减退:牙齿缺失后,余留牙齿发生了一系列变化,使原本良好的咬颌关系发生变化,由于余留牙之间有效功能面积相应减少,咀嚼效能降低。
4、食物嵌塞:正常牙齿与牙齿之间,排列得十分紧密,邻近的牙齿移动后,牙齿与牙齿会出现缝隙,容易使食物嵌塞到牙齿间隙里,引起口臭、龋齿、牙周病等。
5、牙齿脱落:由于缺牙左右两边的牙齿无法获得它们原先常有的支撑压力,它们会在牙龈中变得倾斜不正,使牙齿逐渐松动,导致部分牙齿脱落。
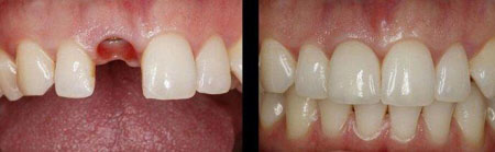
门牙掉了可以用种植牙修补吗?
医生称,种植牙对牙齿修复的效果是非常好的,是目前非常受欢迎的牙齿修复方法,被誉为“人类的第三副牙齿”。
贝臣齿科采用的微创种植牙特点为微创微痛,在传统种植牙的基础上采用知名非常新应用的非常有名的微创美容治疗技术来完成种植牙的植入过程,利用微小切口(2~3毫米)将知名原装进口牙"种"入口腔内摆脱了传统种植牙繁琐低效的步骤,将创伤降低到近乎等于0,大大减少了肿痛和出血大幅度缩短了种植过程所需的时间(全口种植过程仅需30分钟),而且降低了感染的风险,无论美观度还是功能性完全超越真牙。
在线咨询(免费咨询)在线近距离