想要具体了解前牙种植牙的费用大概是多少?>>>点击【在线咨询】直接问医生!方便!快捷!前牙种植可以恢复牙列的完整性,让人们重新拥有一口洁白整齐的牙齿。当然,做前牙种植牙的费用大家也是相当关心的。那么,前牙种植牙的费用大概是多少?接下来就由专家为您答疑解惑吧。

【前牙种植牙的费用大概是多少】
专家解答:对于患者想要了解种植牙的的价格来说,主要是与自身环境、选择品牌、医院都是有关的。详细情况如下:
1、口腔环境有关:患者在选择种植牙时,需要在治疗请先检查自身的口腔环境。如果患者发生牙周病的时候,那么就需要患者在治疗前先解决牙周病的问题,从而造成价格的问题。【门牙缺失形象受影响怎么办】
2、选择品牌的情况:如今对于种植牙来说品牌很多。而对于植牙引进的种植体都是先进的,因此对于品牌不同从而就会造成价格的不一样。同时对于不同的种植体来说所拥有的使用寿命也是不同的。
3、选择医院的情况:不同的医院具备的设备、医生也是不同的。而对与种植牙来说同样也是比较复杂的,因此在治疗时需要医生拥有良好的经验要求。从而保证患者的治疗效果、安全。所以导致价格的不稳定。

从事牙齿种植临床工作十余年,在牙齿种植方面拥有扎实的医学基础理论知识和丰富的临床经验,掌握多种主流种植系统使用方法,以及复杂病例的系统性治疗以及种植修复等。
擅长: 牙种植,种植后期固定义齿、覆盖义齿修复等
【贝臣牙科:阳光收费 放心就诊】
收费不仅是医患关系的核心,更彰显了一家医院是否真心实意地为百姓服务,凸显诚信问题。在收费方面,一些医院似乎总是遮遮掩掩,让患者“雾里看花”,贝臣牙科医院作为高端的口腔服务行业领先品牌,敢于直面尖锐的问题,率先建立】完善的收费制度,真正做到透明收费,让百姓放心就诊的同时,为自己赢得了珍贵的口碑。【我要立即美牙】
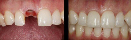
【种植牙建议做前牙美学修复】
前牙缺失患者在选择种植牙后,不仅美观度 佳,同时在治疗后的寿命也是佳的。种植牙在治疗种植牙所采用前牙美学种植技术,每一颗种植牙的形态、色泽、质感均要经过几十道工序的精细打磨、比色、上光,确保每颗牙齿都富有通透性和灵动性。在治疗时还不会对口腔有任何的伤害情况出现。还有不明白的,点击免费咨询,或者拨打24小时贝臣美牙热线0591-88681777咨询,贝臣齿科医生为您解答!
在线咨询(免费咨询)在线近距离