门牙突出要怎么矫正
来源:贝臣齿科
2018-01-11 15:53
进入答疑区

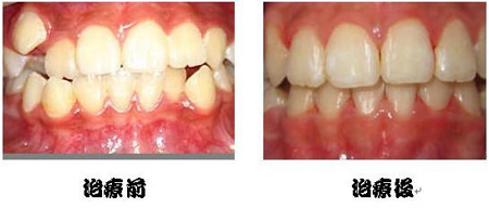
  牙齿不美观使很多爱美人士感到烦恼,近来有一些门牙突出的朋友咨询本院专家,自己的门牙长得很别扭,虽说不是严重影响生活,但是实在影响美观,降低自己的自信。大家都想知道门牙突出怎么矫正?>>>点击免费咨询,或者 拨打24小时美牙热线0591-88681777免费咨询,贝臣齿科医生为您解答!
 


 

  那么,门牙突出怎么矫正呢?医生推荐您隐形正畸,革命性的隐形牙套是一种快捷、更有效率的牙套粘结系统,完全隐藏在别人的视线之外,能够做到100%个性化定制,符合每位患者独一无二的矫正处方。
 

  隐形矫正又叫“隐形无托槽矫正”,是牙齿矫正的一种。隐形无托槽矫正没有传统矫治过程中的钢丝和托槽,不影响美观等突出优点而广受美齿者青睐。医生介绍,这种隐形矫治技术继承了传统的牙颌畸形矫治理念,是现代口腔医学、计算机辅助三维诊断、个性化设计及数字化成型技术的完美结合。>>>文字看累了?点击直接咨询医生吧!
 

  另外,相对于传统牙颌畸形矫正器而言,隐形矫治技术,不需要托槽和钢丝,采用的是一系列隐形矫治器,该隐形矫治器由安全的弹性透明高分子材料制成,使矫治过程几乎在旁人无察觉中完成,不影响日常生活和社交。同时,没有了粘结托槽、调整弓丝的繁琐,临床操作大大简化,整个矫治过程省时又省力。
 


 

  此外,隐形牙套矫正门牙突出还具有以下优势:
 

  一、舒适:由于没有传统意义上的托槽、钢丝等矫正装置,矫正过程不再痛苦。对牙周组织的刺激及不适感降低。
 

  二、美观:完全无形。您将在别人毫无察觉中完成牙齿矫正,解决了许多患者对矫正牙齿的美观顾虑。
 

  三、方便:可自行摘戴,不影响社交、进食、运动等。同时复诊次数减少,节约您的宝贵时间。
 

  四、清洁:口腔卫生容易维护,不必担心牙龈炎、牙齿脱矿、变色等问题。

温馨提示:
病情因人而异,以上信息仅供参考,请您一定到专业正规医院,接受医生的诊断与治疗。贝臣齿科提供网络咨询预约平台,可以向在线人员咨询您的情况。

在线咨询预约医生

在线咨询(向医生医生免费咨询)名医在线近距离