透明正畸托槽 悄然带来你的美
来源:贝臣齿科
2014-12-09 10:33
进入答疑区

  “美女经济”——2014年的关键词,受其影响,越来越多的成年女性渴望变美,要求进行正畸治疗,改进自己的形象。由于传统的正畸固定矫治器采用不锈钢托槽,姑娘们张口讲话时暗黑色的矫治器常常不小心溜进对方的视线,令爱美的她们尴尬不已。现在有一种陶瓷托槽矫治方法,它所使用的托槽近乎透明,粘在牙齿上隐蔽性较好,使矫治过程悄然完成。>>> 点击免费咨询,或者拨打24小时牙齿健康热线0591-88681777咨询,贝臣齿科医生为您解答!
 


 

  传统的不锈钢托槽矫治器
 

  目前应用的所有透明托槽均为氧化铝陶瓷,其优势在于美观的视觉效果,陶瓷的晶粒越大,透明性越好。透明托槽具有良好的抗污染性和抗变色能力,只要患者注意口腔卫生,就可以使托槽一直保持透明状态。由于氧化铝陶瓷具有极高的硬度,为不锈钢的九倍,因而不会变形,具有很好的尺寸稳定性。陶瓷托槽基底与粘结剂之间为化学结合,受力均匀,不易脱落,明显减少复诊次数。>>>文字看累了?点击直接免费咨询吧!
 

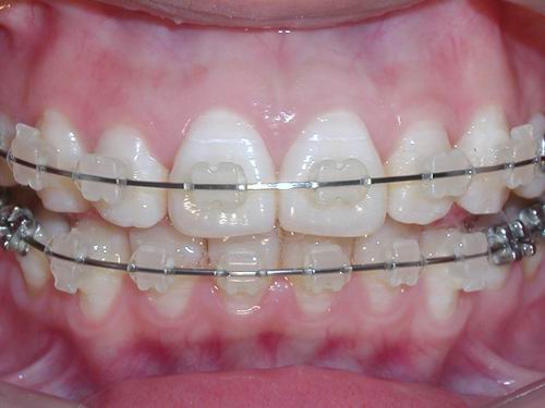
  透明陶瓷托槽矫治器
 

  当然陶瓷托槽也有一些缺点,比如比较容易断裂,摩擦阻力大,对牙齿的控制力差等。但是由于透明托槽的巨大优点,深得成人患者和正畸医生的广泛喜爱,逐渐风行,已成为国外正畸矫治中必不可少的材料。
 


 

  源自德国 齿科精工世家(BaiNian齿科精工世家)
 

  贝臣口腔源自德国齿科精工世家,全力打造 国内化五星级高端牙科诊疗连锁机构,专注服务于各大城市中高端人群和社会精英。在人才、诊疗设备、、临床路径、服务模式、消毒工艺上均体现 国内服务水准。在上,贝臣齿科拥有德国精工种植系统、德国四维隐形正畸系统、德国仿生美容冠系统、德国炫彩美白系统、德国显微超薄贴面等。>>> 还有不明白的,点击免费咨询,或者拨打24小时贝臣美牙热线0591-88681777咨询,贝臣齿科医生为您解答!

温馨提示:
病情因人而异,以上信息仅供参考,请您一定到专业正规医院,接受医生的诊断与治疗。贝臣齿科提供网络咨询预约平台,可以向在线人员咨询您的情况。

在线咨询预约医生

在线咨询(向医生医生免费咨询)名医在线近距离