身边有一些朋友有牙齿漏风的现象,大多数是由于门牙牙缝大前牙稀疏造成,不管是男是女,门牙牙缝大非常影响外观,也不敢开口大笑,怕人家笑话,时间一长,就不敢进行过多的人际交往,那么,门牙牙缝大怎么办呢?下面由贝臣齿科医师给大家作详细介绍。>>>点击免费咨询,或者拨打24小时牙齿健康热线0591-88681777咨询,贝臣齿科为您解答!

要解决门牙牙缝大的问题,先要了解门牙牙缝大的原因:
门牙牙缝大是前牙稀疏的一种常见情况,多是牙量小、骨量大所致。多为先天遗传,但也有一些其他原因,如咬合、拔牙后未能及时修复,牙齿移位造成间隙,或牙周病及外力作用下造成漂移。其症状表现为上下前牙出现缝隙,或大或小、先天缺牙,颌骨形态正常;牙体形态正常,颌骨过大;拔牙后不镶牙,引起近远中邻牙移位而产生间隙。>>>文字看累了?点击直接咨询医师吧!
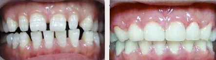
门牙牙缝大怎办呢?解决方法如下:
1、牙齿正畸。牙齿正畸是传统的解决门牙牙缝大的方法,这种方法对牙齿没有损伤,但弊端在于需要戴难看的牙套,并且矫治周期太长,未成年人一般需要一年半到两年,成人正畸一般需要两年左右,很多人因此而放弃。为美观考虑,很多爱美者选择牙博士韩式隐形正畸,隐形矫正器,佩戴方便,不为人察觉,在不影响正常生活的情况下悄悄矫正。
2、美牙冠。美牙冠是目前成年人矫正牙齿的方法,因矫正耗时短,效果显著而备受推崇。美牙冠是在传统烤瓷牙的基础上强调牙齿的美容效果,对牙缝大等畸形牙的临床冠部分施以手段,后用美牙冠加以修复。>>> 还有不明白的,点击免费咨询,或者拨打24小时贝臣美牙热线0591-88681777咨询,贝臣齿科为您解答!
在线咨询(向医生医生免费咨询)名医在线近距离