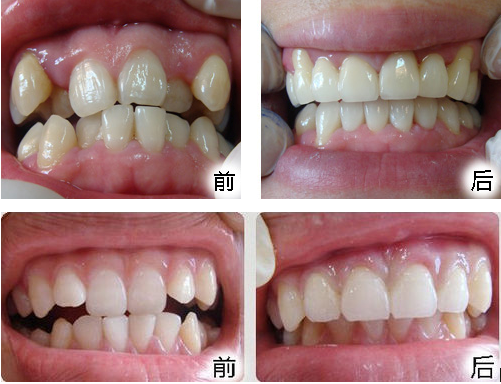
中重度牙齿拥挤可拔牙可不拔牙的边缘病例应结合颅面硬软组织形态,选择合适的手段,能不拔牙时尽可能不拔牙,在严格掌握适应症和规范操作的前提下,也可以选择邻面去釉的方法。>>>点击免费咨询,或者拨打24小时牙齿健康热线0591-88681777咨询,贝臣齿科医生为您解答!

贝臣齿科医院医生表示,邻面去釉不同于传统的片切或减径方法。邻面去釉一般是针对第一恒磨牙之前的所有牙齿,而不是某1、2颗牙齿;邻面去除釉质的厚度仅仅为0.25mm,而不是1mm或更多;此外邻面去釉与减径使用的器械和治疗程序也有区别。牙齿邻面釉质的厚度为0.75~1.25mm,同时邻面釉质存在正常的生理磨耗,为邻面去釉方法的解剖生理基础。在两个第一恒磨牙之间邻面去釉共可得到5-6mm的牙弓间隙。
适应症邻面去釉须严格掌握适应症:
(1)轻中度牙弓间隙不足,特别是低角病例>>>文字看累了?点击直接免费咨询吧!
(2)牙齿较大;或上下牙弓牙齿大小比例失调
(3)口腔健康好,牙少有龋坏
(4)成年患者>>>还有不明白的,点击免费咨询,或者拨打24小时贝臣美牙热线0591-88681777咨询,贝臣齿科医生为您解答!
在线咨询(向医生医生免费咨询)名医在线近距离