牙齿不齐,牙齿稀疏或者牙齿矫正现象,有些家长很明智,会选择咨询一下牙科医生,在的时候为孩子治疗,这种做法是非常好的。医生建议家长选择的牙科医院为孩子进行牙齿矫正治疗。>>>点击免费咨询,或者拨打24小时牙齿健康热线0591-88681777咨询,贝臣齿科医生为您解答!

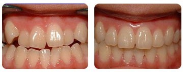
贝臣齿科医院医生介绍,牙齿拥挤现象不仅仅是一个表现,根据牙齿拥挤现象可以归分为单纯拥挤和复杂拥挤两种:
一、单纯拥挤:表现为牙齿因间隙不足而排列错乱,并因此影响到牙弓形态与咬合关系。单纯拥挤可视为牙性错合,一般不伴颌骨及牙弓间关系不调,也少有口颌系统功能异常,磨牙关系中性,面形基本正常。
二、复杂拥挤:表现为除牙量不调造成的拥挤之外,还存在颌骨、牙弓间关系不调,并影响到患者的面形,有时还伴有口颌系统功能异常;复杂拥挤时拥挤本身只是一个症状,并不是错合的主要方面。>>>文字看累了?点击直接咨询医生吧!
医生推荐的隐形矫正,该是治疗牙齿拥挤好的。对于单纯拥挤和复杂拥挤都有很好的治疗效果,而且该是美牙于无形,不会给患者带来任何的影响与不适。隐形牙齿矫正是根据每个人的实际情况,通过计算机辅助三维诊断、设计和制造系统,用一系列个性化的透明矫治器,来完成矫治的牙齿矫正,具有美观、定位精准、清洁方便等优点。>>> 还有不明白的,点击免费咨询,或者拨打24小时贝臣美牙热线0591-88681777咨询,贝臣齿科医生为您解答!
在线咨询(向医生医生免费咨询)名医在线近距离