3m纳米树脂补牙怎么样
来源:贝臣齿科
2017-12-24 15:41
进入医生答疑区

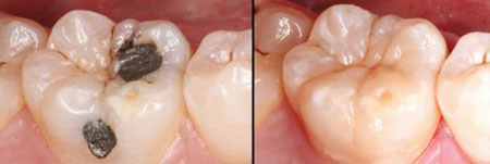
  龋齿,也就是蛀牙,是很多人都不陌生的。刷牙的时候发现自己有了刷不掉小黑点,应及时到专业的口腔医院进行检查,因为这很有可能就是龋齿的开始。轻微龋齿通过补牙就可以得到修复治疗,而修复牙齿中补牙非常好也非常受大家关注的莫非3M纳米树脂补牙了。>>>点击免费咨询,或者 拨打24小时美牙热线0591-88681777免费咨询,贝臣齿科医生为您解答!
 


 

  不同于传统的树脂,独有的纳米技术复合树脂,不仅让牙齿在修复之后自然逼真,其强度也可以保证补过的牙齿寿命更长,是对补牙有较高要求患者的非常佳选择。糖糖是个人见人爱的小姑娘,人如其名,就是非常爱吃糖,上初中的她张口就是好多蛀牙。糖糖的姑姑因为自己饱受蛀牙折磨,因此在发现糖糖有蛀牙后就带她来到了贝臣齿科。医生迅速高效地补好了糖糖的牙齿,还告诉她以后要少吃糖,吃了甜的要刷牙或者漱口。经过修补后糖糖的牙齿又白又亮,小丫头开心极了。
 


 

  3M纳米树脂填充补牙的优势有:
 

  1、色泽逼真:恢复牙齿自然外形,色泽尤其逼真、有质感;
 

  2、持久性佳:3M独有的纳米技术复合树脂,将牙齿的抛光性和持久性完美结合,抛光和使用的持久性都非常好。
 

  3、超强强度:超出预期的强度和持久性,表面受到摩擦时,牙齿只是磨损到一个纳米级的颗粒,而不会象传统混合微填料那样丢失一个较大的颗粒。
 

  4、适用广泛:纳米树脂填充杰出的抗压性和抗张性以及持久性,使它可用于许多方面:垫底、窝沟封闭、和小III类洞、V类洞的充填,瓜子牙、牙缝等牙病的充填和修复。

温馨提示:
病情因人而异,以上信息仅供参考,请您一定到专业正规医院,接受医生的诊断与治疗。贝臣齿科提供网络咨询预约平台,可以向在线人员咨询您的情况。

在线咨询预约医生

在线咨询(免费咨询)在线近距离