想要具体了解牙齿缺损的原因都有哪些?>>>点击【在线咨询】直接问医生!方便!快捷!牙齿的缺损会给我们的牙齿造成许多的不便,影响了我们牙齿正常的功能,给我们的生活以及我们的牙齿健康产生了影响甚至是危害,应该引起我们的足够重视。那么,牙齿缺损的原因都有哪些?专家为您做详细的介绍。

一、引起牙齿缺损的原因有很多,要根据具体情况来分析
专家指出,牙齿缺损往往会对我们的牙齿美观以及我们的牙齿健康造成影响,应引起我们的足够重视。引起牙齿缺损的原因有很多,具体表现在下面的几个方面:
1、严重的龋齿蛀牙。严重的龋齿蛀牙会导致牙体组织变色或者是会造成牙冠破坏,引起牙齿的缺损。
2、牙齿受到外力的撞击。牙齿如果受到外力的强烈撞击,往往会造成牙齿的缺损以及牙齿的脱落。>>>点这里,直接预约医生!方便快捷!
3、不良的牙齿习惯。一些不好的牙齿习惯如经常磨牙或者是不好的咀嚼习惯往往会引起牙齿的缺损。
4、自然脱落。
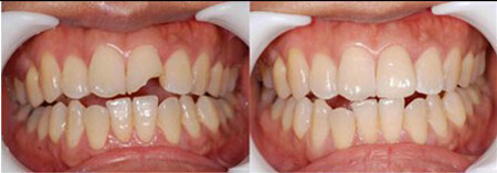
二、牙齿缺损的治疗,选择0.2mm全瓷晶体贴面技术
0.2mm全瓷晶体贴面是近年来除了仿生美容冠外盛行于欧美、日韩的另一种牙齿美容技术,全瓷贴面同样是美容牙科史上的里程碑,它吸取各种美牙技术的长处,突破传统贴面的各种弊端,将贴面在外观、功能上的优势发挥到极致。0.2mm全瓷晶体贴面为此受到各地爱美人士的一致垂青,成为享誉全球的美牙专家力荐的美牙方式。
0.2mm全瓷晶体贴面的优点包括:美观效果好,牙体磨除量小,粘结强度高,利于牙周组织健康,强度高。【立即咨询】
三、专家建议:引起牙齿缺损的原因是有很多的,我们要注意分析引起牙齿牙齿缺损的原因,这样在以后的生活中,我们可以尽量避免或者是改正能够引起我们牙齿缺损的因素,更好的保护我们的牙齿,让我们拥有健康整齐的牙齿。
贝臣齿科经过百年的经营和发展,已经成为欧洲规模大的齿科连锁品牌,集团在中国拥有福州、成都、湖州等数十家齿科连锁机构,力求打造中国齿科第一领导品牌。作为国际JCI医疗质量认证的权威齿科服务品牌,贝臣齿科荣获多项国际殊荣:欧洲口腔行业十大影响力品牌、国际牙医师学院(ICD)临床培训基地、欧美明星指定齿科美容机构、德国精工种植牙发明与技术推广示范基地等。还有不明白的,点击免费咨询,或者拨打24小时贝臣美牙热线0591-88681777咨询,贝臣齿科医生为您解答!
在线咨询(免费咨询)在线近距离