不少人由于不良哺乳姿势等问题而导致地包天,非常的难看。医学上称之为“前牙反牙合”、“反牙合”,贝臣齿科医生说一旦出现地包天,就必须及时的进行矫正治疗,否则很影响美观。
矫正地包天的费用并不统一,这是因为每个人牙齿畸形的程度不同,适合的牙齿矫正方法也不一样,因此费用也不同。

地包天矫正价格和以下因素都有关:
1、牙齿矫正方法:目前矫正牙齿的方法很多,严重的需要通过外科正畸的方法,另外,钢丝矫正、隐形矫正、美容冠等都可以矫正牙齿,不同的方法矫正效果不一样,收费自然也不同。
2、个人牙齿情况:每个人的牙齿畸形程度不同,一般来说,牙齿畸形越严重,矫正程度越大,收费也相对高一些。
3、选择的口腔医院和医生:不同的口腔医院由于各方面条件都不一样,设备也不同,收费标准不同。而不同的口腔医生更由于本人技术和经验不一样,矫正效果不一样,收费也不同。
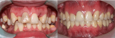
贝臣齿科医生推荐生美牙冠
贝臣齿科引进仿生美牙冠针对个小牙、龅牙、虎牙、牙齿不齐缺失、地包天、畸形牙以及色素牙,可彻底、快速矫正修复。具有美牙不拔牙,时间短,牙齿坚固,生物相容性好,牙龈不会出现黑线等优点。仅需1小时,即刻解决牙齿问题,治齿、矫齿、美齿一步到位,效果是非常好的。
在线咨询(免费咨询)在线近距离