想要具体了解儿童地包天矫正方法?
点击【在线咨询】直接问医生!方便!快捷!许多孩子由于一些不良习惯,导致牙齿地包天的形成,地包天是牙齿畸形的一种,不仅影响牙齿正常功能,也影响着患者的美观。下面就跟着口腔矫正医生了解儿童地包天矫正有哪些方法。
儿童地包天矫正的方法
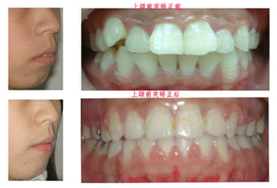
儿童牙齿畸形是由先天因素或后天因素导致的牙齿、颌骨、颅面的畸形的,儿童地包天分为两种,第一6岁前的乳牙地包天,第二 换牙后的恒牙地包天。对于地包天的矫正,矫正时间越早越好。

由于儿童地包天比较好移动,因此一般采用戴钢丝牙套进行矫正就可以了。如果家庭条件比较好的可以采用隐形牙套矫正,让孩子在毫无察觉的情况下,就完成矫正了。地包天一定要及早进行矫正, 一般在孩子4岁左右就要进行阻断矫正,此时进行矫正,不仅花费少,时间少,效果 也是好的。
无托槽隐形矫正 让孩子的牙齿悄悄变整齐
贝臣齿科医生介绍,隐形矫正又叫“无托槽隐形矫正”,是牙齿矫正的一种。 隐形矫正术继承了传统的牙颌畸形矫治理念,是现代口腔医学、计算机辅助三维诊断、个性化设计及数字化成型术的完美结合。

因没有传统矫治过程中的钢丝和托槽,可以避免一些家长害怕孩子在学校怕被别人笑话,是美观、时尚、方便的牙齿矫正缝隙很大的方法。矫正时间要比戴钢丝的快一些, 基本需要3——6个月的时间就可以了,非常适合儿童矫正。
预防儿童牙齿畸形,应注意什么
1)注意口腔健康。加强营养并重视口腔卫生,发现有龋齿,及时充填龋齿。
2)纠正不良习惯。少让孩子吃甜食,发现有吃手指头、咬嘴唇、吐舌头、用口呼吸等不良习惯,父母须及时引导提醒,耐心教育,帮助孩子克服不良习惯。
3)合理喂养。提倡母乳喂养,避免得奶瓶龋。采用人工喂养时,能使用近似乳头的奶嘴,奶嘴的开孔不可过大,直径以1-2毫米为宜。

4)儿童能够咀嚼食物后,加强儿童咀嚼功能训练,充分锻炼口腔肌肉功能,进而有效刺激下颌骨的生长发育。日常生活中要给孩子多吃一些坚硬耐磨的食品,如排骨、牛肉干、烧饼、锅巴、馒头干、苹果等。
5)注意保护孩子的乳牙,特别是乳牙龋坏脱落易导致恒牙发育错颌畸形。乳牙排列是恒牙列排列的先导,乳牙确实导致两侧牙齿向空隙挤压,导致牙列不齐,遇到此类问题就需马上进行矫治。
在线咨询(免费咨询)在线近距离