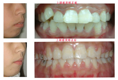
想要具体了解牙齿地包天能矫正吗?
点击【在线咨询】直接问医生!方便!快捷!地包天分为骨性与牙性,牙性地包天可简单进行矫正,但若是骨性地包天有可能得配合外科手术进行矫正,特别要提出的是,儿童“地包天”畸形的时,及时到医院检查和矫治,早期矫正畸形的效果较好。乳牙反咬合一般在4-5岁牙根长成后进行矫治为宜。此时孩子已开始懂事,知道矫治畸形对健康有好处,多能很好地配合。反咬合如果是由于乳尖牙磨耗不足造成的,而且反咬合较浅,可以磨改乳尖牙牙尖,解除乳尖牙早接触,使下颌自行后退到上颌内的正常位置,以消除前牙反咬合。

形成地包天的因素是什么?
造成地包天现象的原因分为先天遗传和后天养成,先天遗传即是父母或爷爷奶奶与外公外婆中有人有地包天的现象,后天的原因也有多种,例如:第一,喂奶方式的不正确、小孩子不良的吮指习惯、咬笔头、用口呼吸、有咬上唇或下颌前伸不良习惯等,导致前牙反牙合及下颌前突的;第二,替牙期间,乳牙滞留或早失造成个别前牙反牙合,上乳磨牙早失上恒前牙后移形成前牙反牙合。但不管是由什么原因造成的地包天都应该尽早矫正,要在5岁左右就进行,以免长大之后矫正难度加大。

地包天是否可预防呢?
医生指出,若是后天因素造成的地包天是可预防,但若是先天遗传造成 的地包天则是不可预防的,但先天遗传的地包天可尽早进行功能性矫正,避免地包天情况的出现。若非有遗传病史的可后天预防。
贝臣齿科多种托槽矫正器 满足所有矫正人士需求
牙齿矫正不是任何牙医都可以操作的,矫正医生不仅要有专业知识,并且还需拥有多年的临床矫正经验,并且,矫正医院的选择也是至关重要,医院的矫正设备、矫正口碑、服务态度等都是衡量一个矫正医院好坏的准则。并且,牙齿矫正不能一味追求低价格,而是要关注牙齿矫正的效果与安全,在保证安全有效的前提下,追求高性价比。据了解,贝臣齿科牙齿矫正性价比总比其他牙科高出至少5倍,目前已有86385位顾客选择在贝臣齿科完成牙齿矫正。
还有不明白的,点击免费咨询,或者拨打24小时贝臣美牙热线0591-88681777咨询,贝臣齿科医生为您解答!
在线咨询(免费咨询)在线近距离