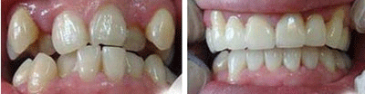
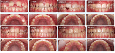
地包天可以做隐形矫正吗?
医生指出,地包天是可以做矫正的,但隐形矫正是需要到现场检查根据每个人具体的牙齿情况而定的,正常情况下都是可以做隐形矫正的。并且,由不良的口腔习惯造成的地包天为假性下颌前突。如不及早矫治,日久可能发展成真性下颌前突。因此,地包天是要越早矫正效果越好的,早发现早矫正,好是在儿童时期就进行功能性的矫正。

造成地包天的原因有哪些?
1、不良的口腔习惯:由于不良哺乳姿势等而引起下颌功能性过度前伸造成下颌前突和前牙反颌。
2、替牙期的局部障碍:多由于牙齿萌出或替换过程中的局部障碍所至,常表现为单纯的前牙反牙合。反覆盖较小,磨牙关系为中性或接近中性关系。下颌的形态、大小基本正常。
3、遗传和疾病因素:地包天可遗传,除了前牙反牙合外常显示反覆盖大。磨牙为近中错牙合,并伴有颌骨畸形。

隐形矫正还适合哪些情况?
1、牙缝过大:牙间隙,表现为牙齿之间缝隙多。
2、牙齿拥挤:表现为牙齿里出外进,不美丽,不易清洁,易患蛀牙,易形成牙结石,导致牙周疾病。
3、深覆盖:又称龅牙,有的仅仅表现为上前牙前突下前牙里倒;有的则是骨骼畸形。这些人当中有的上前牙和上牙床过分向前突出,而下巴却缩在上嘴唇的后面,者根本就没有下巴的形态。
4、前牙反颌,又称地包天,表现为下牙咬合在上牙的外面,有些人仅仅牙齿反颌;有些人不仅牙齿反颌,面部骨骼也畸形,表现为上颌骨发育不足后缩,下颌骨发育过渡前突,造成面中部凹陷,侧貌为新月形,影响美丽和功能。
隐形矫正的注意事项有哪些?
1、因为对牙齿矫正要佩戴牙齿矫正器,所以会给使用者带来不习惯的感觉,想要完全没有感觉,必须经过一段时间的适应。
2、牙齿矫正器在佩戴之后,因为嘴部多了一样物品,所以肌肉会出现酸痛的感觉,在这提醒属于正常的情况,不必过于担心。
3、牙齿矫正器陪带期间更要注意牙齿的清洁卫生,必要的时候在每次就餐后使用漱口水进行清洁。
在线咨询(免费咨询)在线近距离