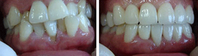
想要具体了解地包天矫正多少钱?
点击【在线咨询】直接问医生!方便!快捷!有地包天的情况,很多人都用异样的眼光看待着我们,对于这种地包天可否通过矫正的方式来改善呢?那么,地包天矫正要多少钱?

为什么会有地包天的情况?
有两大原因:一种是单纯因为牙齿的排列错乱造成,上下颌骨的发育及位置正常,这在医学上称为 "牙性畸形",此类畸形不需要手术,只需请口腔科医生重新排列牙齿即可。相反,如果反颌畸形是由于上下颌骨发育异常造成的,即所谓"骨性畸形",则需要采用手术的方法矫治。
直接与医院在线医师一对一通话,方便!快捷!了解详情就医指导。
地包天矫正要多少钱?
1、个人牙齿具体情况决定:要根据个人牙齿的凸合程度收费,因为每个人的牙齿情况有所区别,具体情况还要由专家检查并进行数字化术前仿真模拟设计后才能确定。
2、选择矫正器矫治有关:地包天矫正,由于成人骨骼已基本定型,戴牙套矫正难度大,而美容冠是矫正成人地包天的方法。
3、地包天矫正费用与医院、医生有关:地包天矫正并不是一个简单的手术,地包天矫正是否安全的关键在于地包天矫正医生是否具有流行的时尚审美观和熟练的技术,在于地包天矫正医院是否拥有先进的设备。
在线咨询(免费咨询)在线近距离