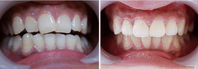
地包天牙齿矫正费用
来源:贝臣齿科
2017-01-10 14:53
进入医生答疑区

  想要具体了解地包天牙齿矫正费用 点击【在线咨询】直接问医生!方便!快捷!其实很多人都有轻微的地包天,但是有的人觉得自己生活中多多注意就行了,甚至看到网友问“地包天可以自己矫正吗?”这个问题的时候,内心十分的担忧。一般情况下,都需要到医院进行正规操作的,后来得知是因为地包天较正的费用,那么地包天矫正到底需要多少钱呢?直接与医院在线医师一对一通话,方便!快捷!了解详情就医指导。
 


 

  地包天牙齿矫正费用点这里,直接预约医生!方便快捷!
 

  医生解释:先不说牙齿矫正的费用如何,地包天牙齿自己是不能进行矫正的,需要到正规的口腔医院进行。一般轻度的地包天矫正费用是需要医生先明确你的牙齿情况,难易程度大小,然后来制定矫正方案,选择矫正方式,后才能确定具体费用的。如果是如果是骨性严重的话可能要做正颌手术和正畸联合治疗,因此,所以每个人的选择和牙齿情况不同,费用也不相同。
 


 

  因为不了解每个人的地包天程度和牙齿的具体情况,所以是无法进行具体的费用估算的。建议可以到就近的大型口腔医院进行一个综合的牙齿评估和检查,确定一个详细的诊疗方案,再详细的估算大致的费用。此外,地包天牙齿矫正的技术和医生也会影响费用,普通的正畸和隐形正畸的费用不同,医生的职称和专业熟练程度不同,费用也会存在一定的波动。
 

  医生提醒:在做地包天矫正时,不能以费用作为唯一的衡量标准,需要根据自己的经济水平、牙齿情况以及个人需求进行综合分析,选择合适自己的矫正方,从而保证地包天牙齿矫正的效果。 还有不明白的,点击免费咨询,或者拨打24小时贝臣美牙热线0591-88681777咨询,贝臣齿科医生为您解答!

温馨提示:
病情因人而异,以上信息仅供参考,请您一定到专业正规医院,接受医生的诊断与治疗。贝臣齿科提供网络咨询预约平台,可以向在线人员咨询您的情况。

在线咨询预约医生

在线咨询(免费咨询)在线近距离