谈到地包天,很多人很无奈,地包天严重影响了我们的正常生活,很多人想去治疗地包天,但是不知道治疗地包天多少钱。>>>点击免费咨询,或者拨打24小时齿科健康热线0591-88681777咨询,贝臣齿科为您解答!

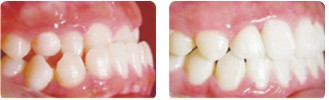
在正常情况下,当上下牙齿咬合时,应该是上前牙咬在下前牙的外面,若相反的话即下前牙咬在上前牙的外面,这在医学上称“前牙反牙合”、“反牙合”,俗称“地包天”,也叫“兜齿”。
一、跟患者的牙齿情况有关:由于每个人地包天的畸形情况不同,所以治疗的难易程度就不同,价格也就有所差别。地包天矫正的前期治疗包括检查、拍X光片、设计、分牙、粘托槽,有的可能需要拔牙。>>>文字看累了?点击直接免费咨询吧!
二、跟所选医院有关:地包天矫正价格是根据不同的医院、不同的水平、不同的采用方案、不同医院设备及不同的矫正后效果等因素而确定。没有任何一家医院可以自己定价,都是国家定价。不同医院报的价钱不同,差别在假体材料不一样,提供的服务质量和术后跟踪服务上有差别。
三、与手术矫正难度有关:地包天矫正费用的问题要看个人牙齿的凸合程度,分轻,中,重度,因为每个人的情况有所区别。此外,一般认为4-18岁是矫正地包天的时机,成年后矫正地包天难度增加。不同症状,不同时机地包天矫正难度不同,价格也会有所波动。
【推荐】牙齿正畸“德国四维隐形矫正”
隐形美观,自然舒适,无异物感,不影响日常工作和生活德国四维隐形矫正,是现代口腔医学、计算机三维诊断、个性化设计及数字化成型的完美结合,是欧洲齿科材料的巅峰之作,实现牙齿矫正与脸部塑形的完美结合,让牙齿“悄然”变美。>>>还有不明白的,点击免费咨询,或者拨打24小时贝臣美牙热线0591-88681777咨询,贝臣齿科医生为您解答!
在线咨询(免费咨询)在线近距离