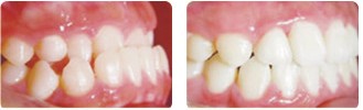
牙齿地包天是一种比较常见的牙齿畸形,有地包天的患者往往外表都比较“显老”,牙齿地包天除了先天原因之外,还有很大一部分原因是后天造成的,那么牙齿地包天要怎么办?可以恢复正常吗?>>>点击免费咨询,或者拨打24小时齿科健康热线0591-88681777咨询,贝臣齿科为您解答!

牙齿地包天是什么原因导致的呢?
医生医生表示,地包天是很多人都常常会关心的问题,有地包天对于我们的健康自然是有很多不好的影响的,地包天病因很多除先天遗传外大部分因素还是后天的,如果您和您先生的父辈甚至他们的父辈都没有类似的错颌表现,那么说明没有显著遗传特征,就该考虑后天的因素,比如孩童时代经常感冒,扁桃体发炎肿大,开口呼吸,吐舌,咬笔头等不良习惯,都可能是反颌的病因。
“地包天”治疗方式有许多目前主要分为四种:普通正畸、隐形正畸、烤瓷矫正、手术矫正。牙齿地包天怎么办?贝臣齿科医生指出,普通正畸指的是比较常见的铁齿钢牙的矫治方法,是用粘结剂将矫正装置粘在牙齿上,这只能由正畸医师装拆或调整,受术者不可以自行调节。手术期间每个月需要复诊一次,医生会逐渐调整矫正装置,使牙齿前移。>>>文字看累了?点击直接免费咨询吧!
当牙齿前移至手术预期的位置,手术就结束了,但是还需要再佩戴一段时间,巩固效果。隐形正畸的矫治器是全部安装在牙齿的舌侧面的,因此也被叫做舌侧正畸。该手术治疗期间仍然可以进行正常的社交和职业活动,矫正器是不会被发觉的。手术会在不知不觉中达到效果,适合社交较多或者比较爱美的人士。
【推荐】牙齿正畸“德国四维隐形矫正”
隐形美观,自然舒适,无异物感,不影响日常工作和生活德国四维隐形矫正,是现代口腔医学、计算机三维诊断、个性化设计及数字化成型的完美结合,是欧洲齿科材料的巅峰之作,实现牙齿矫正与脸部塑形的完美结合,让牙齿“悄然”变美。>>>还有不明白的,点击免费咨询,或者拨打24小时贝臣美牙热线0591-88681777咨询,贝臣齿科医生为您解答!
在线咨询(免费咨询)在线近距离