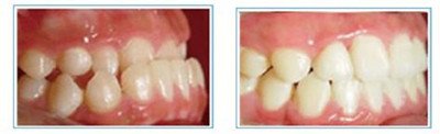
儿童地包天矫正费用
来源:贝臣齿科
2017-09-21 16:26
进入医生答疑区

  想要具体了解儿童地包天矫正费用 点击【在线咨询】直接问医生!方便!快捷很多家长都比较困扰自己的孩子牙齿是地包天,担心以后长大了对孩子的心理以及生活都带来或多或少的影响,医生称儿童地包天是可以矫正的,那么儿童地包天矫正费用是多少呢?一起来看看下面的文章吧。直接与医院在线医师一对一通话,方便!快捷!了解详情就医指导。
 


 

  地包天矫正费用与患者的个人情况有关:
 

  有些患者是单纯因为牙齿的排列错乱造成的地包天,上下颌骨的发育及位置正常,此类地包天不需要做地包天矫正,只需要使用一般的矫正地包天的方法即可。这种矫正地包天费用相对便宜。而有些患者的地包天是由于上下颌骨发育异常造成的,则需要采用地包天矫正手术来治疗,因此牙齿矫正也就会比较贵了。点这里,直接预约医生!方便快捷!
 

  其实这些因素说到底还是由患者的不同症状、不同年龄影响矫正。除了患者的自身情况外,各地的消费水平不同,口腔的设施条件不同、医生的技术经验不同,都会影响矫正地包天价格,较便宜的和较贵的相差甚远,因此患者较好到正规的专科口腔来检查一下。
 


 

  个性化舌侧隐形矫正术矫正地包天:
 

  贝臣齿科的个性化舌侧矫治术,引进瓷睿刻椅旁修复系统与GALILEOS 3DX线体层影像系统,让福州众多爱美人士不用远赴欧美日韩,在家门口也可以享受到化的口腔美容服务。早在20世纪70年代,舌侧矫正术就开始在日本和美国出现。
 

  与传统矫治器比较,美观是舌侧正畸较大的优点。由于矫治器全部安装于牙齿的舌侧面,外观上看不到正畸治疗装置,使矫治过程几乎在旁人难察觉中完成,就连患者自己对着镜子也不容易看到安装在舌侧面的牙套。这一技术,成功的避免了以往唇侧矫正术因为托槽和钢丝附在牙面上而引起的外观上的困扰。点这里,直接预约医生!方便快捷!
 

  个性化舌侧隐形矫正术优势:
 

  舌侧隐形矫治器告别传统的唇侧矫治术,能让您在旁人难察觉中完成牙齿矫正,拥有整齐健康的牙齿,能让您不必再为难看而尴尬的的钢丝铁牙感到苦恼,能让您在不知不觉中拥有自信和美丽的笑容。
 

  舌侧隐形矫治器是将矫治器全部藏在牙齿舌头的那一面,除了您自己,别人是很难发觉您正在矫正牙齿。舌侧矫正器是现代正畸学的理念与新的计算机辅助设计制造术相结合的产物,是跟据您的牙齿“量身定做”的少有的矫治器,尽显您牙齿的珍贵。其有效的设计为您的舌头提供很大程度的舒适度,显著缩短您言语的适应过程。
 

  个性化舌侧隐形矫正体系制作是应用CAD/CAM术模型排牙后,通过激光三维扫描,然后在计算机上三维建模完成托槽的设计;接着托槽底板形态与各牙的舌侧面有效吻合,专业铸造托槽;由机械手完成弓丝的有效成型,克服了传统舌侧矫治器的局限性。
 

温馨提示:
病情因人而异,以上信息仅供参考,请您一定到专业正规医院,接受医生的诊断与治疗。贝臣齿科提供网络咨询预约平台,可以向在线人员咨询您的情况。

在线咨询预约医生

在线咨询(免费咨询)在线近距离