福州地包天矫正哪家医院好
来源:贝臣齿科
2017-10-13 15:34
进入医生答疑区

  想要具体了解福州地包天矫正哪家医院好 点击【在线咨询】直接问医生!方便!快捷常见的牙齿畸形有很多种,地包天是我们在日常生活中经常可以见到的,地包天对我们的咀嚼和吞咽功能都有一定影响,而且重要的一点是还影响美观。那么,地包天的危害究竟有多大呢?福州地包天矫正哪家医院好?对于这些问题,我们来听听医生是怎么说的吧!直接与医院在线医师一对一通话,方便!快捷!了解详情就医指导。
 


 

  地包天不及时矫正危害大
 

  一、影响咀嚼功能及口腔健康多数牙地包天患者的上下前牙不能对咬,不能行使切咬功能:
 

  下颌位置异常,咀嚼功能降低,后牙的咬合功能难以高度发挥。主要表现为进食时间较正常人长,其他人已经吃饱了,而地包天患者可能只吃了一半。如果勉强加快进食速度,就会加重胃肠负担,长此下去,将会引起消化系统慢性疾病,影响全身的健康。
 

  个别牙地包天时,前牙咬合交叉错乱,也会妨碍正常功能活动,久之可造成牙齿的不正常磨耗。地包天患者也易患颞颌关节疾病。点这里,直接预约医生!方便快捷!
 

  二、妨碍颌骨的发育,影响美观前牙地包天形成了前牙的异常锁结关系,上颌骨的发育一般旱于下颌骨:
 

  如果不尽早解除地包天,下前牙就会限制上颌骨的正常发育,而上颌骨向前生长发育的趋向还将进一步促进下颌的生长发育,等上颌骨已经不再向前生长时,下颌骨还继续向前生长,这样就使畸形逐渐加重。表现为面中部发育不足,从侧面看,面形呈月牙状脸,好似全口牙齿都已脱落后的老太太的面形,严重影响患者的容貌美观,有些人还因此造成心理障碍。
 

  传统矫正时间的长短与畸形严重程度有关,一般需要1­2年。由于无需反复去医院粘结托槽、调整弓丝,采用隐形矫治可以减少就诊次数和诊疗时间,隐矫正术全程仅需9­12个月,当然全隐矫长短的具体时间仍然需要根据患者牙齿畸形和复杂程度而定。
 


 

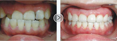
  福州地包天矫正哪家医院好
 

  贝臣齿科Invisalign隐形矫正术全程实现微痛、无创快速诊疗法,该技术是完全个性化的设计理念,完全不会影响人们的日常生活,可自行摘戴,具有隐形高效,稳定美观的特点。相比于一般的隐形矫正治疗时间缩短近三分之一,复诊时间缩短二分之一,为正畸者大大节省了时间。
 

  Invisalign 隐形矫正的优势在哪?
 

  隐适美观:
 

  没有传统意义上的托槽,采用透明材质的矫治器,免除了“钢丝铁牙”的尴尬。
 

  快捷省时:
 

  一次性制作适合不同阶段佩戴的矫治器,可带回家按医嘱使用,免除复诊,尤其适合商务人士和备考学生。
 

  疗效显现:
 

  3D模拟运算正畸进程,准确控制正畸进度,CAD制作的系列矫治器完美契合,持续施加合适的矫治力,真正将正畸时间缩短一半。
 

  安全微痛:
 

  没有托槽、钢丝等矫正装置,不磨牙、不拔牙,矫正过程不再痛苦。
 

  方便舒适:
 

  可自行摘戴,不影响社交、进食、运动等;容易清洁,也不必担心牙龈炎、牙齿变色等问题。
 

  温馨提示:通过以上对“福州地包天矫正哪家医院好"的介绍,相信大家都有一定的了解了吧,在此还是要提醒大家,若牙齿出现了问题一定要去正规的医院,不要因为摊小便宜而对牙齿问题置之不理,这会给牙齿带来一定的伤害,同时在生活中也给你带来的不便。欲了解更多关于牙齿问题可随时关注。
 

温馨提示:
病情因人而异,以上信息仅供参考,请您一定到专业正规医院,接受医生的诊断与治疗。贝臣齿科提供网络咨询预约平台,可以向在线人员咨询您的情况。

在线咨询预约医生

在线咨询(免费咨询)在线近距离