牙齿地包天有什么危害
来源:贝臣齿科
2018-02-06 15:57
进入医生答疑区

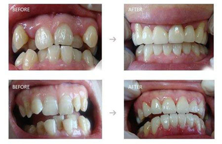
  地包天困扰着许多爱美人士,地包天不但影响牙齿美观,还损害面容美观。除了美观问题以外,地包天还会降低我们的口腔功能,使我们患上口腔疾病几率提高。今天,我们请医生为您解答,>>>点击免费咨询,或者 拨打24小时美牙热线0591-88681777免费咨询,贝臣齿科医生为您解答!
 


 

  医生介绍:前牙反合可发生在乳牙期、混合牙列期和恒牙期。一般而言,矫治应越早越好。反合畸形患者,会严重地影响口腔、颜面、颌骨的生长发育,会使患儿面中1/3发育受限,面下1/3发育过度,这样的儿童,从侧面看,面形呈月状脸,影响美观和功能。>>>文字看累了?点击直接咨询医生吧!
 

  乳牙期不矫正,就会丧失矫治时机,替牙之后一般是继续形成恒牙的反合,且反合面形随着年龄的增长,使畸形愈加严重。如在生长发育期不纠正,长至成人后,虽经努力,可以纠正牙齿的反合关系,但严重的骨性畸形必须经手术才能改正。因此从预防的角度讲,反合(地包天)应尽早进行矫治。
 


 

  临床上也有这样的例子,乳牙反合矫正之后,待恒牙萌出之后又出现了前牙反合。这时不得不再次进行矫治。但应该强调的是,这类患者虽然前牙呈反合关系,但基本上属于牙性反合,而不是骨性反合,矫治起来,相对比较容易。因此乳牙反合还是有必要矫正的。
 

  反合病人,除严重影响美观之外,对患者的咀嚼功能影响也较大。前牙无法行使切割功能,由于反合影响下颌运动,也将引起后牙的咀嚼功能明显下降。此外也影响患者的发音功能,使一些音发不清楚,影响交际和学习。还有不明白的,点击免费咨询,或者拨打24小时贝臣美牙热线0591-88681777咨询,贝臣齿科医生为您解答!

温馨提示:
病情因人而异,以上信息仅供参考,请您一定到专业正规医院,接受医生的诊断与治疗。贝臣齿科提供网络咨询预约平台,可以向在线人员咨询您的情况。

在线咨询预约医生

在线咨询(免费咨询)在线近距离