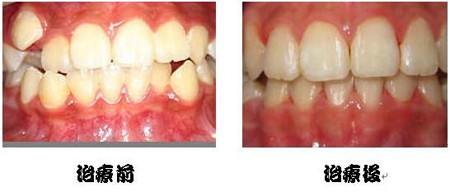
地包天的危害与治疗方式
来源:贝臣齿科
2018-02-10 15:23
进入医生答疑区

  现在儿童因为一些不良的口腔习惯造成地包天的情况是比较多的。小孩小的时候咬手指,下颌会往前伸,就会引导下颌骨向前发育,久之过度发育就形成畸形。很多人对地包天的危害与治疗方式一无所知,那么,接下就将为大家详细介绍。
 

  地包天形成的原因更多的是习惯不太好,下颌牙齿在上颌牙齿的前面就是地包天。盖住上面的牙齿。正常的情况下是上颌盖住下颌牙齿,下颌发育受到上颌的限制。现在下颌发育没有阻挡的力量,地包天的情况会越来越严重。>>>点击免费咨询,或者 拨打24小时美牙热线0591-88681777免费咨询,贝臣齿科医生为您解答!
 


 

  【地包天的危害】
 

  一、肠胃疾病:地包天的危害之影响咀嚼功能及口腔健康多数牙地包天患者的上下前牙不能对咬,不能行使切咬功能:下颌位置异常,咀嚼功能降低,后牙的咬合功能不能高度发挥。
 

  二、关节疾病:个别牙地包天时,前牙咬合交叉错乱,也会妨碍正常功能活动,久之可造成牙齿的不正常磨耗。>>>文字看累了?点击直接咨询医生吧!
 

  三、心里疾病:面中部发育不足,从侧面看,面形呈月牙状脸,好似全口牙齿都已脱落后的老太太的面形,严重影响患者的容貌美观,有些人还因此造成心理障碍。
 


 

  【地包天治疗方式】
 

  一、儿童地包天矫正:
 

  孩子开始生牙的时候,我们会发现小孩牙齿在长出来以后,上颌牙齿在前外面一点,下颌牙齿在里面一点,这是正常的情况;如果孩子有一些不良的习惯,慢慢就会发现下颌牙齿往前走,逐渐下颌牙齿超过了上颌牙齿。这期间当我们发现上下颌牙齿已经处于切合关系的时候,就要请大夫做一个装置调整它,早期调整可以有很简单的方法。我们可以做一个戴在头上的吊带,可以限制下颌往前伸的趋势。
 

  二、成人地包天矫正:
 

  对因上颌后缩导致的反颌畸形,则需要行上颌骨截骨前移术,即通过特殊的截骨方式,将上颌骨整体前移而达到矫正反颌畸形的目的。同时,上颌骨前移后,面中份凹陷也得到明显改善。个别患者在反颌畸形矫正后,如果鼻部较低,可通过隆鼻手术进一步增加面中份的立体感。对存在上颌后缩和下颌前突的反颌畸形患者,需要同时行上颌骨截骨前移和下颌骨截骨后退,必要时还需要颏部截骨整形。还有不明白的,点击免费咨询,或者拨打24小时贝臣美牙热线0591-88681777咨询,贝臣齿科医生为您解答!

温馨提示:
病情因人而异,以上信息仅供参考,请您一定到专业正规医院,接受医生的诊断与治疗。贝臣齿科提供网络咨询预约平台,可以向在线人员咨询您的情况。

在线咨询预约医生

在线咨询(免费咨询)在线近距离