不同年龄地包天怎么治疗
来源:贝臣齿科
2018-02-26 15:37
进入医生答疑区

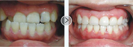
  地包天就是下面的牙齿吧是上面的牙齿还要突出,会人的身体造成很多不良影响。基本的就是会亚种印象牙齿基本功能和人的容貌。那么,不同年龄地包天怎么治疗?>>>点击免费咨询,或者 拨打24小时美牙热线0591-88681777免费咨询,贝臣齿科医生为您解答!
 


 

  【不同年龄地包天的差异】
 

  不同年龄段、不同程度的地包天畸形,矫正方法也有所差异。乳牙期和恒牙期主要以纠正不良习惯、阻断性治疗为主,未成年人恒牙以一般矫正技术矫正为主,成年人地包天可以使用矫正器矫正,严重的需要进行正颌外科矫正。
 

  成年人地包天治疗:成年人因为牙颌已经发育成熟,所以通常对于地包天畸形,尤其是骨性地包天,单纯通过矫正器已经无法完成治疗任务,所以基本都需要正畸-正颌联合矫正方法。但是,如果是不太严重的牙源型地包天的话,仍然可以使用矫正器进行有效治疗,只是可能会出现矫正时间长、反弹等问题,需要患者选择成人牙齿矫正比较好的口腔医院,制定更加精密完善的矫正方案。>>>文字看累了?点击直接咨询医生吧!
 

  青少年地包天治疗:未成年(12岁—18岁),因为这个阶段颌骨虽然基本已经定型,但并不是很完善,所以对于地包天牙齿,通常仍采用一般牙齿不齐矫正技术,通过地包天矫正器来完成正畸任务。
 

  儿童地包天治疗:儿童在乳牙期和替牙期时期,孩子颌骨发育几乎是刚处于萌芽阶段,存在较大的可塑性空间,变性也比较大,所以这个时期对于“牙齿地包天怎样治疗”主要以预防性矫正和阻断性矫正为主。通过纠正孩子一些不良习惯,如伸下巴、吐舌等,治疗容易诱发儿童地包天的现象的多生牙、滞留乳牙、龋齿等口腔疾病和扁桃体炎、佝偻病等全身疾病,利用一些比较特殊的矫正器,如功能矫正器,这些比较简单的治疗手段,及时阻断牙齿畸形发展方向,引导牙齿回归到正常位置。
 


 

  贝臣齿科——自锁托槽金属矫治
 

  自锁正畸托槽是指在正畸治疗中,用一种专用的黏结剂固定在牙齿表面的一种金属或陶瓷等材料制成的装置,用于容纳和固定正畸钢丝,传递矫治力到牙齿,从而达到牙齿矫正的目的。是根据传统矫治改进而来,其作用和优点要比传统矫正器好出很多。
 

  口腔清洁:自锁托槽的体积较小,有利于舒适,有利于口腔卫生的保护。
 

  免去疼痛:掀盖式的自锁优势,免去了传统托槽结扎加力的方法,免结扎就是免去了加力的疼痛。
 

  复诊时间:自锁托槽的复诊周期可以拉长,长达8周才复诊,节俭了患者的时间成本,复诊次数减少。
 

  治疗时间:显著的精良优势在于自锁托槽因为免结扎,所以没有传统托槽的摩擦阻力,使得治疗的总疗程可以缩短1~4个月。

温馨提示:
病情因人而异,以上信息仅供参考,请您一定到专业正规医院,接受医生的诊断与治疗。贝臣齿科提供网络咨询预约平台,可以向在线人员咨询您的情况。

在线咨询预约医生

在线咨询(免费咨询)在线近距离