地包天矫正可以不带钢牙
来源:未知
2018-03-03 16:24
进入医生答疑区

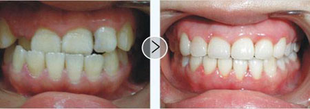
  地包天矫正可以不带钢牙。地包天对于形象的影响实在太严重了,需要进行及时的治疗,但是传统钢丝矫正带来的“钢牙妹”的称号对大家来说则更具威慑力,从而让人望而却步。这里,医生提醒您。>>>点击免费咨询,或者 拨打24小时美牙热线0591-88681777免费咨询,贝臣齿科医生为您解答!
 


 

  医生会根据你的原本脸型作出调整,在保持地包天达到正常位置时,会使外凸的下巴也会变得柔和,因此地包天矫正不仅仅是矫正同样是为自己做美容。当然还有很多人因为传统钢牙矫正的阴影而放弃治疗。但是随着科学技术的发展,国际先进的牙齿矫正技术已经可以很好的避免钢牙所带来的困扰。>>>文字看累了?点击直接咨询医生吧!
 

  地包天矫正可以不带钢牙。地包天矫正的确会完善脸型,但是想要得到更好的治疗效果并且避免钢牙外漏的问题,就一定需要更高端、更先进的技术支持,才可以把矫正跟美观相结合。贝臣齿科突出的国际先进技术牙齿矫正技术,就可以很好的解决这一问题。
 


 

  【隐形矫正技术】
 

  隐适美隐形矫正:隐适美几乎完全隐形,哪怕知道您正在矫正牙齿的人也很难看出您佩戴了隐适美矫治器,采用国际尖端纳米技术精制而成,完全透明、光滑,牙症者戴用时美观、舒适。在矫治开始前即可在计算机上模拟显示整个矫治过程中患者牙颌的变化过程,实现了矫治过程的效果预测,有利于医患交流。爱美的患者则完全可以避免自己会被叫做钢牙妹的尴尬了,不过这个技术不适用牙齿畸形严重的患者。
 

  数码舌侧隐形正畸:同样是隐形矫正的一种,但是适用于更多牙齿畸形的患者。其将隐形技术与传统钢牙矫正相结合,将矫治器放置于牙齿内侧(舌侧面),巧妙隐藏避免"钢牙"外露!其具有完美脸型、低拔牙率、隐形美观、杜绝复发的四大特点 。是一种非常适用于地包天患者牙齿矫正的技术。
 

  具有国际化齿科技术背景的贝臣齿科认为:牙齿矫正需要将科学、健康、美观、相结合,才能成为人们追求品质生活的时尚方式。口腔正畸变得更加实用,并且更加美观,才能够更加被大家所支持。还有不明白的,点击免费咨询,或者拨打24小时贝臣美牙热线0591-88681777咨询,贝臣齿科医生为您解答!

温馨提示:
病情因人而异,以上信息仅供参考,请您一定到专业正规医院,接受医生的诊断与治疗。贝臣齿科提供网络咨询预约平台,可以向在线人员咨询您的情况。

在线咨询预约医生

在线咨询(免费咨询)在线近距离