矫治地包天的好方法
来源:贝臣齿科
2018-03-05 15:49
进入医生答疑区

  你知道吗?地包天不仅影响患者的面部美观,更加影响身体的健康。地包天是生活中很常见的一种牙齿畸形,有地包天的患者不在少数。地包天不仅影响患者的面部美观,更加影响身体的健康。那么,地包天应该怎么样进行矫正好呢?下面就请医生介绍一下矫治地包天的好方法。>>>点击免费咨询,或者 拨打24小时美牙热线0591-88681777免费咨询,贝臣齿科医生为您解答!
 


 

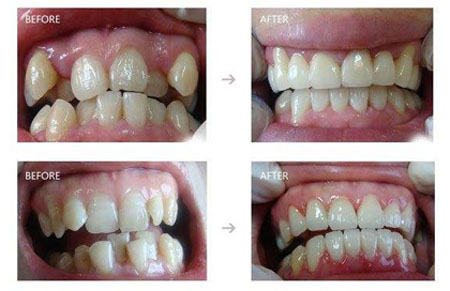
  医生介绍:“地包天”是一种非常常见的牙齿畸形症状,在正常情况下,当上下牙齿咬合时,应该是上前牙咬在下前牙的外面,若相反的话即下前牙咬在上前牙的外面。严重的“地包天”不但影响容貌,而且影响进食及语言。在我国,地包天是常见的牙颌面畸形,占各类求治者的35%左右。
 

  地包天如果不及时矫正,随着年龄的增长,地包天会越来越难治。如在生长发育期不纠正,长至成人后,虽经努力,可以纠正牙齿的反合关系,但严重的骨性畸形必须经手术才能改正。因此,患有地包天的患者一定要及时的进行治疗。>>>文字看累了?点击直接咨询医生吧!
 

  地包天应该怎么样进行矫正好呢?医生指出:针对儿童的地包天,可以用传统的矫治器进行矫治。成年人由于骨骼发育齐全,采用传统的矫正方法,矫正时间长,还容易反弹。在这里专家推荐美容修复技术只需一小时,就能完全拥有美丽整齐的牙齿。
 


 

  美容修复技术是在传统烤瓷牙的基础上强调牙齿的美容效果,对错位牙、畸形牙的临床冠部分施以专业手段,后用美牙冠加以修复。对于各种原因形成的地包天都可以进行修复,效果立竿见影,终身有保障。
 

  美容修复技术选用优秀的材料再结合精雕细琢的工艺,美牙冠的外表逼真美观、坚固耐磨,色泽近于天然牙,生物相容性良好,不刺激口腔组织,既能恢复牙齿功能,又有美容功效,边缘密合性大大优于传统的修复体。美容修复技术,仅仅1个小时的时间就可以拥有整齐亮白的牙齿。整个过程安全快捷,牙冠具有接近牙齿本身的活性,没有任何异物感。还有不明白的,点击免费咨询,或者拨打24小时贝臣美牙热线0591-88681777咨询,贝臣齿科医生为您解答!

温馨提示:
病情因人而异,以上信息仅供参考,请您一定到专业正规医院,接受医生的诊断与治疗。贝臣齿科提供网络咨询预约平台,可以向在线人员咨询您的情况。

在线咨询预约医生

在线咨询(免费咨询)在线近距离