儿童地包天如何治疗好
来源:贝臣齿科
2018-03-18 15:59
进入医生答疑区

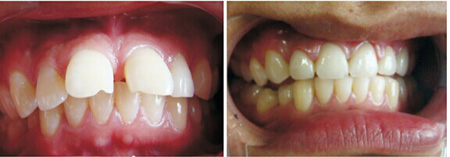
  孩子地包天在日常生活中很常见到,儿童地包天也是牙齿畸形中比较常见的一种,家长要足够重视这个问题,不及时进行矫正,对孩子的影响很大。那么发现孩子地包天如何治疗?治疗的过程又是怎么样的?>>>点击免费咨询,或者 拨打24小时美牙热线0591-88681777免费咨询,贝臣齿科医生为您解答!
 


 

  儿童地包天好的治疗方法就是牙齿矫正,利用生物力学原理对牙颌畸形进行矫治,通过粘接在牙齿上的各种牙齿矫正的矫治器,对牙齿施加机械力量,将牙齿排列整齐,使其恢复正常的排列和咬合功能,同时也促进了口腔的健康。
 

  家长们要注意,儿童地包天治疗是有一定的时间限制,也就是有一个佳治疗的年龄段。矫治儿童地包天的佳年龄段应该是4-13岁之间,颌面部生长发育迅速,此时若能得到及时的矫正治疗,多数可阻断颌骨的异常生长发育,达到事半功倍的效果。儿童矫治地包天在佩戴矫治器期间,通常需要2-4周到医院进行一次复查,小孩子牙齿反颌多数会在半年左右即可完成治疗,解除前牙反颌造成的颌骨的锁结关系,使其可以正常的生长发育。
 

  由于地包天的矫治具有一定的复发性、遗传性的特点,因此在小孩子的替牙期、恒牙期仍然会有继续治疗的可能性。而恒牙期的小孩子治疗牙齿反颌,则需要口腔正畸医生使用比较复杂的固定的矫正器进行小孩子牙齿反颌的治疗,其治疗时间大概是两年左右的时间,费用也比较贵。
 


 

  那么,儿童地包天的治疗过程是怎么样的呢?
 

  1、乳尖牙调牙合、咬翘法:适用于由于乳尖牙磨耗不足或个别牙合干扰造成的前牙反合,通常在消除合干扰后,前牙反牙合会自行纠正。
 

  2、去除不良习惯:造成乳牙反牙合常见的口腔不良习惯有前伸下颌、咬上唇。
 

  3、下颌联冠斜面导板:乳牙深反覆牙合患者,可采用下颌联冠斜面导板矫治器。
 

  4、上颌舌簧活动矫治器:是通过唇向移动舌倾的上前牙或个别牙,去除咬合干扰,解除前牙反牙合,吃饭时必须戴用。>>>文字看累了?点击直接咨询医生吧!
 

  5、局部固定矫治器:替牙早期个别前牙反牙合可能导致咬合创伤,可采用局部固定矫治器,唇向倾斜上前牙,舌向移动下前牙,消除咬合干扰并解除前牙反牙合。
 

  6、上颌前方牵引装置:牵拉上颌骨,适合于生长发育高峰期前上颌发育不足的儿童。
 

  当发现孩子下颌有这种趋势时,就要请医生,做些简单矫正装置。如果在乳牙阶段就出现“地包天”,必须及早矫正。千万不能等到换牙后,以免形成骨性畸形。
 

  全透明隐形正畸技术有什么好呢?全透明隐形正畸技术。它的无托槽隐形矫正适合具有以下问题的人,包括个别牙错位、牙列拥挤、牙齿不整齐、牙间隙、前牙反合(地包天、凹面型)、前牙深覆盖(龅牙、凸面型)、前牙深覆合(或深覆盖)、下颌短缩面型、双颌前突、口唇前突和前牙开合(窄长面型)。还有希望进行个性化设计的人比较适合适用无托槽隐形矫正。
 

  全透明隐形正畸技术是很美观的,而且几乎完全隐形。您将在别人毫无察觉中完成牙齿矫正,解决了许多患者对矫正牙齿的美观顾虑。全透明隐形正畸技术很舒适,由于没有传统意义上的托槽、钢丝等矫正装置,矫正过程不再痛苦。对牙周组织的刺激及不适感低。全透明隐形正畸技术比较方便,因为可自行摘戴,不影响社交、进食、运动等。
 

  同时复诊次数减少,节约您的宝贵时间。全透明隐形正畸技术的清洁很方便,口腔卫生容易维护,托槽容易拆卸,所以很容易清洁,也不必担心牙龈炎、牙齿脱矿、变色等问题。全透明隐形正畸技术的矫正过程很便捷,短而有效的治疗疗程,一般治疗约9-12月即可完成。还有不明白的,点击免费咨询,或者拨打24小时贝臣美牙热线0591-88681777咨询,贝臣齿科医生为您解答!

温馨提示:
病情因人而异,以上信息仅供参考,请您一定到专业正规医院,接受医生的诊断与治疗。贝臣齿科提供网络咨询预约平台,可以向在线人员咨询您的情况。

在线咨询预约医生

在线咨询(免费咨询)在线近距离