地包天为什么一定要做牙齿矫正
来源:贝臣齿科
2018-03-23 15:46
进入医生答疑区

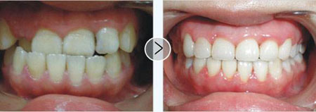
  地包天是一种常见的牙齿畸形,一般发生在乳牙期、混合牙列期和恒牙期。地包天矫治的危害较大,所以要及时治疗。那么地包天一定要做牙齿矫正么?下面就由专家为我们介绍下。>>>点击免费咨询,或者 拨打24小时美牙热线0591-88681777免费咨询,贝臣齿科医生为您解答!
 


 

  前牙反合可发生在乳牙期、混合牙列期和恒牙期。一般而言,矫治应越早越好。有的家长认为,乳牙反合不要紧,等换完牙齿后反合会自行改正,情况果真如此吗?不是的。反合畸形患者,会严重地影响口腔、颜面、颌骨的生长发育,会使患儿面中1/3发育受限,面下l/3发育过度,这样的儿童,从侧面看,面形呈月牙状脸,影响美观和功能。
 

  乳牙期不矫正,就会丧失矫治时机,替牙之后一般是继续形成垣牙的反合,且反合面形随着年龄的增长,使畸形愈加严重。如在生长发育期不纠正,长至成人后.虽经努力,可以纠正牙齿的反合关系,但严重的骨性畸形必须经手术才能改正。因此从预防的角度讲,反合(地包天)应尽早进行矫治。临床上也有这样的例子,乳牙反合矫正之后,待恒牙萌出之后又出现了前牙反合,这时不得不再次进行矫治。但应该强调的是,这类患者虽然前牙呈反合关系,但基本上属于牙性反合,而不是骨性反合,矫治起来,相对比较容易。>>>文字看累了?点击直接咨询医生吧!
 

  因此乳牙反合还是有必要矫正的。反合病人,除严重影响美观之外,对患者的咀嚼功能影响也较大。前牙无法行使切割功能,由于反合影响下颌运动,也将引起后牙的咀嚼功能明显下降。此外也影响患者的发音功能,使一些音发不清楚,影响交际和学习。 综上所述,地包天不矫治是不行的,而且应该是矫治越早越好。
 


 

  地包天矫正方法有什么?
 

  1、普通矫正:
 

  所谓普通矫正就是我们俗称的“钢牙”将黏合剂把刚托贴附在牙齿上面,在用钢丝把钢托和牙齿相链接。此种方法一个月道院复诊一次,医生会根据个人的牙齿矫正情况对钢丝逐渐加力。正畸结束后不代表就可以了,为了让牙齿可以永久保持整齐要佩戴1年左右时间的保持器。前半年24小时佩戴,下半年夜间佩戴即可。
 

  2、隐形矫正:
 

  隐形矫正是佩戴在牙齿舌侧面在不知不觉中把牙齿和五官面部进行改善。不耽误工作学习对外形也没有丝毫的影响。此技术也叫“个性化隐形矫正”治疗。因可以采用电脑数控设计加工,制作出来的矫正器小巧,准确异物感更小。更让爱美许多演艺,公务员等职业人士接受,在欧美也极具流行。
 

  3、美容修复矫正:
 

  美容修复矫正技术,全面强力升级传统烤瓷牙,引进牙冠技术,采用国际顶尖的仿生全瓷材料,专业齿科团队亲诊,个性化定制美牙方案,纯自然光牙色对比,为快速矫正成人畸形牙提供多种修复方案,效果美观自然,坚固耐用。
 

  温馨提示:一般情况下,人们进行地包天治疗更多选择的还是专业的口腔医疗机构,因为专业的口腔医疗机构在各方面都有着不可比拟的优势,无论从专家技术,还是医疗水平上都要比一般的诊所更具有说服力。还有不明白的,点击免费咨询,或者拨打24小时贝臣美牙热线0591-88681777咨询,贝臣齿科医生为您解答!

温馨提示:
病情因人而异,以上信息仅供参考,请您一定到专业正规医院,接受医生的诊断与治疗。贝臣齿科提供网络咨询预约平台,可以向在线人员咨询您的情况。

在线咨询预约医生

在线咨询(免费咨询)在线近距离