地包天矫正后有哪些注意事项
来源:贝臣齿科
2018-03-25 15:36
进入医生答疑区

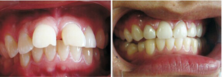
  地包天就是牙齿的下牙比上牙要突出,而且也是一种常见的牙齿畸形。地包天对人们危害很大的,不仅会影响到人们外在美观,还会影响到人们的身体健康。所以人们如果患上地包天,一定要及时去医院进行矫正,地包天矫正后还有一些要注意的。做好地包天矫正后的注意事项能够确保地包天矫正后的效果。>>>点击免费咨询,或者 拨打24小时美牙热线0591-88681777免费咨询,贝臣齿科医生为您解答!
 


 

  地包天矫正后有哪些注意事项?主要有下面几点:
 

  1、地包天牙齿矫正后7天之内尽量避免手术部位沾水。保证手术部位清洁,防止感染,如果伤口上有血痂或分泌物,可用无菌盐水擦拭。
 

  2、地包天牙齿矫正手术后,可对局部伤口加压包扎,或用冰袋冷敷,但压力不宜大,术后一旦发生出血不止和严重血肿,应及时到医院复诊。术后应有安静、舒适的环境休养。手术当日,伤口会有些疼痛,但随着时间的推移,会逐渐减轻。>>>文字看累了?点击直接咨询医生吧!
 

  3、地包天牙齿矫正后不吃硬壳食物,比如:骨类食物、蟹、坚果类等。这样可以防止因饮食不当而导致矫正器的附件松脱,以避免产生不必要的伤害。
 

  4、地包天牙齿矫正后保持口腔清洁,牙齿矫正器是靠粘结剂粘结在牙齿上,通过矫正器件给牙齿施力,来达到理想的牙齿移动。良好的矫正效果不但需要医生精湛的技艺,更需要患者的密切配合。
 


 

  如果您是想要接受地包天治疗的患者,建议您要多多了解牙齿矫正后的注意事项。同时也提醒您要选择合适的牙齿矫正技术。贝臣齿科为广大患者推荐时代天使隐形矫正技术。
 

  时代天使隐形矫治采用计算机辅助三维诊断、设计、制作等系统和新口腔正畸技术,为您度身定做一系列透明矫治器,只需每2周更换一副,就可以让原来的"老虎牙"、"龅牙"等令您难堪的牙齿在不被人发觉的情况下得到彻底的矫正和改观。还有不明白的,点击免费咨询,或者拨打24小时贝臣美牙热线0591-88681777咨询,贝臣齿科医生为您解答!

温馨提示:
病情因人而异,以上信息仅供参考,请您一定到专业正规医院,接受医生的诊断与治疗。贝臣齿科提供网络咨询预约平台,可以向在线人员咨询您的情况。

在线咨询预约医生

在线咨询(免费咨询)在线近距离