想要具体了解孩子轻微地包天能矫正吗?>>>点击【在线咨询】直接问医生!方便!快捷!地包天是目前很多的小孩子容易出现的牙齿问题,一般地包天多是由于先天性和外在环境因素所导致的,那么如果孩子有了轻微的地包天后还能矫正吗?

地包天小孩怎么矫正牙齿的?
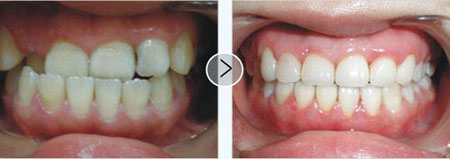
莹莹从小就有咬铅笔的坏习惯。她的父母一开始认为,小孩子长牙时,牙床痒,咬咬铅笔没什么大不了的,就没有当回事。可是后来渐渐的等到她长到10岁的时间牙齿就出现地包天的情况了。这让莹莹妈妈特别的苦恼,于是就想要去带孩子做矫正。
莹莹妈妈从网上搜到了贝臣齿科,与专家进行了一番沟通后就等孩子放寒假了带孩子去医院做了矫正。专家告诉莹莹妈妈孩子是属于轻度的地包天,因此不必过于担心,而且这个时候是属于孩子牙齿矫正的佳年龄阶段,一般矫正起来也不麻烦,在医生的推荐下,莹莹做了自锁牙齿矫正。
戴上自锁托槽牙套改变地包天牙齿?
自锁托槽牙套是利用特殊弹簧片进行固定,不存在接扎橡皮圈老化力量衰减现象,复诊间隔加长。与传统的牙套钢丝牙套不同的是自锁托槽因为没有结扎丝等附件,体积更小,成人可选择美观度较高的陶瓷自锁托槽,矫治效果更稳定。
利用特殊弹簧片进行固定,不存在接扎橡皮圈老化力量衰减现象,复诊间隔加长。另外自锁托槽矫正技术是在柔和的轻力水下平实现牙齿的移动,因此患者不容易感到疼痛及不适,使患者在轻松愉快的情况下完成治疗。【咨询地包天牙齿矫正多久】

李志杰-正畸医生
从事口腔临床工作十几年,熟练掌握国际前沿正畸技术,多次赴德国、美国、韩国等地参加正畸研讨会。对无托槽隐形正畸、四维美学正畸及矫正疑难案例有深入研究。精于自身特点结合美学设计,制定个性化方案,曾为福州知名主持人、影视明星进行矫正,深受赞誉和好评。
擅长:青少年牙齿矫正、成人牙齿矫正、隐形牙齿矫正、美学陶瓷矫正、自锁托槽矫正等多项国际主流正畸技术,各类复杂牙颌畸形的矫治。
【温馨提示】想要对自己孩子负责,那么就应该选择好医院戴孩子做矫正。很多家长不愿选择好医院,结果做出的牙齿矫正后还会再反弹,那么再次做矫正的话不仅费用多出不少,而且还要花费大量时间,不如选择好医院,一次性做好才是硬道理。还有不明白的,点击免费咨询,或者拨打24小时贝臣美牙热线0591-88681777咨询,贝臣齿科医生为您解答!
在线咨询(免费咨询)在线近距离