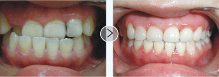
想要具体了解地包天要做牙齿矫正吗?>>>点击【在线咨询】直接问医生!方便!快捷!地包天是一种常见的牙齿畸形,一般发生在乳牙期、混合牙列期和恒牙期。地包天矫治的危害较大,所以要及时治疗。那么地包天一定要做牙齿矫正么?下面就由专家为大家介绍下。

有些家长认为乳牙地包天是不要紧的,等换完牙齿后反合会自行改正,其实这是一种错误的认识。这样的儿童,从侧面看,面形呈月牙状脸,影响美观和功能。所以在发现地包天的时候一定要及早的进行矫正治疗。
乳牙期不矫正,就会丧失矫治时机,替牙之后一般是继续形成垣牙的反合,且反合面形随着年龄的增长,使畸形愈加严重。如在生长发育期不纠正,长至成人后虽经努力,可以纠正牙齿的反合关系,但严重的骨性畸形必须经手术才能改正。>>>点这里,直接预约医生!方便快捷!
因此乳牙反合还是有必要矫正的。反合病人,除严重影响美观之外,对患者的咀嚼功能影响也较大。前牙无法行使切割功能,由于反合影响下颌运动,也将引起后牙的咀嚼功能明显下降。此外也影响患者的发音功能,使一些音发不清楚,影响交际和学习。
技术推荐:
贝臣齿科引进Procera瑞典计算机氧化锆美容修复,具有强大的6优势:
1、色泽稳定:稳定性能卓越,能够长期保持美观效果。
2、强度高:挠曲强度极高(120mpa),确保功能持久,折裂率低于0.5%。
3、磨损率低:表面均质性卓越,确保磨损率低,对颌牙齿无损伤。
4、适应广泛:解决牙缝过宽、断牙、缺牙、氟斑牙、畸形牙等美容修复。
5、卓越的功能性贴合:足够的贴合剂空间,保证冠与牙的紧密性。
6、国外加工:专程运送至瑞典procera加工中心制作。

贝臣齿科经过百年的经营和发展,已经成为欧洲规模大的齿科连锁品牌,集团在中国拥有福州、成都、湖州等数十家齿科连锁机构,力求打造中国齿科第一领导品牌。作为国际JCI医疗质量认证的权威齿科服务品牌,贝臣齿科荣获多项国际殊荣:欧洲口腔行业十大影响力品牌、国际牙医师学院(ICD)临床培训基地、欧美明星指定齿科美容机构、德国精工种植牙发明与技术推广示范基地等。
在专业人才、诊疗设备、先进技术、服务模式、品质工艺上均体现德国“精于工,专于术”的严谨精密的特质。在技术上,贝臣齿科拥有德国西诺德牙床系统、普兰梅卡全景CT系统、四维隐形矫正系统、炫彩美白系统等国际顶尖全套齿科诊疗设备;在人才上,贝臣汇聚了德、英、美、韩、中等世界各国经验丰富的牙科专家,让爱牙人士不出国门即可享受国际顶尖齿科服务。还有不明白的,点击免费咨询,或者拨打24小时贝臣美牙热线0591-88681777咨询,贝臣齿科医生为您解答!
在线咨询(免费咨询)在线近距离