想要具体了解小孩出现轻微地包天不需要矫正吗?>>>点击【在线咨询】直接问医生!方便!快捷!很多朋友在小的时候对于龅牙问题没有重视,长大后在人际交往中甚至是工作中屡屡受挫,如今很想要矫正却担心钢牙套矫正带来更大的困扰,那么,有没有其它比较好的方法来矫正呢?成人矫正龅牙用什么方法好?

成人矫正龅牙的好方法是仿生美学修复技术,它是在传统烤瓷牙的基础上强调牙齿的美容效果,对错位牙、畸形牙的临床部分施以多重专业技术,用冠加以修复。短时间就能让牙齿达到整齐洁白的效果,牙龈一般不出现黑线,是长期效果好的美牙方式!>>>点这里,直接预约医生!方便快捷!
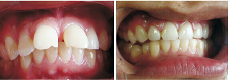
龅牙不矫正的危害?
龅牙不矫治易导致咬合情况发生变化,除了严重影响了面部轮廓与美观,甚至影响到发音;
另外,龅牙不仅对美观造成严重影响,还会影响咀嚼功能,导致食物咀嚼不充分,营养吸收不好,增加了肠胃的负担,因此,发现龅牙问题,一定要尽早进行矫正。
牙齿矫正技术推荐
贝臣齿科引进的隐形正畸技术继承了传统的牙颌畸形矫治的理念,是现代口腔医学、计算机辅助四维诊断、个性化设计及数字化成型技术的完美结合,是正畸领域的新突破。隐形正畸由中韩齿科医师联合坐诊,实现全程微痛无创快速疗法,专门治疗各种牙齿排列不整齐,咬合错位等牙齿形态问题,还你一口整齐、坚固耐用的健康原牙。
该技术是完全个性化的设计理念,可根据正畸者的情况佩带不同的矫治器,完全不影响正畸者的生活。具有隐形高效,稳定美观的优点,并且大大地缩短了疗程,使治疗时间缩短近三分之一,复诊时间缩短二分之一,为正畸者大大节省了时间,透明隐形正畸矫正矫治器厚度不到1mm,透明、光滑、舒适,无异物感和粘膜刺激,是目前较受欢迎和信赖的美齿项目。还有不明白的,点击免费咨询,或者拨打24小时贝臣美牙热线0591-88681777咨询,贝臣齿科医生为您解答!
在线咨询(免费咨询)在线近距离