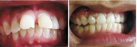
想要具体了解地包天矫正使用哪种方法好?>>>点击【在线咨询】直接问医生!方便!快捷!地包天的牙齿非常的难看,地包天不仅影响人们容貌的美观,而且还对人的自信心造成一定的影响,现在去医院做牙齿矫正的人在变多,牙齿矫正的方法是大家应该选择的,很多有意向做牙齿美容的朋友都想知道的是哪种方法矫正地包天效果 好?我们看专家为您做具体的介绍。
专家表示地包天牙齿矫正的方法有很多,很多人都不知道该选择哪种方法进行矫正好,下面专家为大家做一下具体的介绍。

专家推荐—陶瓷矫正技术
贝臣齿科作为高端连锁品牌口腔医院,十分注重新技术的引进和研究,采用了美国Damon陶瓷矫正技术,该技术不但大大地缩短了疗程,而且隐形、美观,得到畸齿患者的一致好评。
贝臣齿科独家采用的美国Damon陶瓷矫正技术开创了正畸治疗的划时代的变革,此矫正技术拥有独一无二的滑盖设计,其高科技的矫正线比传统的矫正线更柔软、更舒适、更快速达到所需的效果。
美国Damon陶瓷矫正无可比拟的优点
1、完全隐形:不影响美观,几乎看不见,没有任何人知道你正在矫正中。
2、舒适微痛:嘴里没有电线,金属或牙套引起口腔磨损。
3、不影响口腔清洁:可拆卸,您可以刷牙和使用牙线通常保持健康的牙龈和牙齿。>>>点这里,直接预约医生!方便快捷!
4、不影响美食:可拆卸,您可以继续吃您所喜欢的任何食物。
5、可预见的治疗结果:由于隐形矫正整套诊治计划是提前指定的,可恩口腔的医生可以更准确的预估您的疗程可以何时结束。
6、大大降低通过拔牙才可矫正的几率:传统的牙齿正畸疗法很大一部分需要拔牙矫正,采用美国Damon陶瓷矫正后,可以通过非拔牙矫治获得良好的治疗效果,疗程不但没有延长,反而大大得缩短。
在线咨询(免费咨询)在线近距离