想要具体了解小孩出现地包天不需要矫正吗?>>>点击【在线咨询】直接问医生!方便!快捷!整齐的牙齿,可以让你拥有灿烂的笑容,让你变得更加自信美丽。但是有些小孩牙齿有轻微的地包天,很多父母都不是很在意,觉得没什么影响。真的是这样的吗?那么小孩出现轻微地包天不需要矫正吗?

小孩出现地包天不需要矫正吗
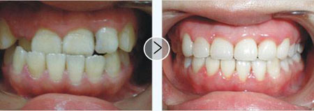
这种说法是错误的,小孩出现轻微地包天是有必要矫正的。地包天不仅仅影响着一个人的面部美观或是给生活带来不便,还会给患者心理带来很大的心理负担,所以说,不管是轻微的地包天还是重度地包天,应该及时进行矫正。>>>点这里,直接预约医生!方便快捷!
地包天越早治疗越好,如果不治疗的话,地包天会越来越严重,等到长大了再治疗就会增加矫正难度。治疗地包天的至佳时期是在十岁以前,这阶段进行矫正是很容易的,比成年人地包天矫正的难度更简单、效果更好、费用更少更省时间。所以如果发现小孩有地包天,一定要及时到医院检查,进行地包天矫正,给您的小孩一个健康整齐的牙齿。
牙齿矫正技术推荐
贝臣齿科引进的隐形正畸技术继承了传统的牙颌畸形矫治的理念,是现代口腔医学、计算机辅助四维诊断、个性化设计及数字化成型技术的完美结合,是正畸领域的新突破。隐形正畸由齿科医师联合坐诊,实现全程微痛无创快速疗法,专门治疗各种牙齿排列不整齐,咬合错位等牙齿形态问题,还你一口整齐、坚固耐用的健康原牙。【立即咨询】
该技术是完全个性化的设计理念,可根据正畸者的情况佩带不同的矫治器,完全不影响正畸者的生活。具有隐形高效,稳定美观的优点,并且大大地缩短了疗程,使治疗时间缩短近三分之一,复诊时间缩短二分之一,为正畸者大大节省了时间,透明隐形正畸矫正矫治器厚度不到1mm,透明、光滑、舒适,无异物感和粘膜刺激,是目前较受欢迎和信赖的美齿项目。还有不明白的,点击免费咨询,或者拨打24小时贝臣美牙热线0591-88681777咨询,贝臣齿科医生为您解答!
在线咨询(免费咨询)在线近距离