我们的牙齿原本就是白色的,但是随着时间的积累,牙齿也开始穿上了有色外衣,四环素牙是典型的的症状,严重的呈暗黄、暗灰色,那么,中度四环素牙有什么样的症状?贝臣齿科医师为大家详细介绍一下吧。>>>点击免费咨询,或者拨打24小时牙齿健康热线0591-88681777咨询,贝臣齿科为您解答!

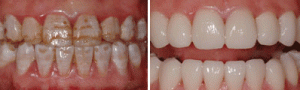
贝臣齿科医师指出,中度四环素牙刚开始的时候呈黄色,在阳光照射下则呈现明亮的黄色荧光,以后逐渐由黄色变成检字法褐色或深灰色。
1、四环素引起牙着色和釉质发育不全,都只在牙齿发育期给药才能显现出来。一般说来,在6~7岁后再给药,则不致引起令人注目的牙变色。
2、前牙比后牙着色明显,乳牙着色又比恒牙明显,因为乳牙的釉质较薄、较透明,不易遮盖牙本质中四环素结合物的颜色。
3、呈黄色:在阳光照射下则呈现明亮的黄色荧光,以后逐渐由黄色变成棕褐色或深灰色。>>>文字看累了?点击直接咨询医师吧!
4、牙着色程度与四环素的种类、剂量和给药次数有关。
牙齿美白选“德国炫彩美白”
自然洁白,舒适高效,持久美白,即刻蜕变较的牙美白,运用光谱原理,采用低温蓝光,隔离一切对人体有害的红紫外线,去除牙齿表面及深层附着的色素,从而达到牙齿美白的效果。>>> 还有不明白的,点击免费咨询,或者拨打24小时贝臣美牙热线0591-88681777咨询,贝臣齿科为您解答!
在线咨询(免费咨询)在线近距离