福州黄牙美白需要多少钱
来源:贝臣齿科
2016-12-24 14:37
进入医生答疑区

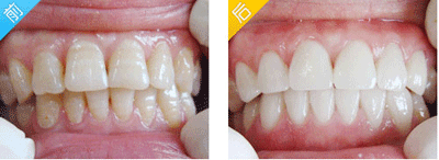
  想要具体了解福州黄牙美白需要多少钱 点击【在线咨询】直接问医生!方便!快捷!每个人都期望自个具有皎白的牙齿,能笑得更自傲,但是不管我们每天怎么刷牙,牙齿上面总是有比较多尘垢。牙黄牙黑表象严重影响了牙齿的秀丽,牙齿美白,让您轻轻松松变美丽。随着医学科技的开展,牙齿美白的技能层出不穷,激光美白、冷光美白、美容冠美白等等,都能为我们解决黄牙疑问。不一样的办法代价是不一样的,爱美者大概根据自个的经济状况、牙齿状况,挑选较合适自个的美白方案。直接与医院在线医师一对一通话,方便!快捷!了解详情就医指导。
 


 

  福州黄牙美白需要多少钱需要根据以下原因决定:
 

  一、黄牙美白的报价与自个牙齿状况有关
 

  自个牙齿状况的不一样关于报价影响的起伏是比较大的,也就是说,你的牙齿上色的程度,以及需求的材料,包含美白的时刻都会影响报价,因此只要到医院实地让医师判定后才晓得你的牙齿美白详细的花费。
 

  二、黄牙美白的报价与挑选的美白办法有关
 

  冷光牙齿美白术是将波长介于480-520纳米之间的高强度蓝光,经由光纤传导,通过两片30多层镀膜的特别光学镜片,再通过特别光学处置,隔除全部有害的紫外线和红外线,将过氧化氢和直径为20纳米的二氧化硅等为主体的美白剂,疾速发生氧化还原作用。透过牙小管,去除牙齿外表及深层附着的色素,从而到达美白的作用。点这里,直接预约医生!方便快捷!
 

  三、与医院的知名度和医师的技能有关
 

  挑选不一样医院进行牙齿美白的报价也是不一样的,通常来讲,小诊所所进行的牙齿美白费用要相对便宜,但安全性以及清洁等稍微差一些,而且很容易出现感染表象,牙齿美白的作用通常没有保证。假如到规范的大医院进行,牙齿美白费用会贵一些,但对较终的作用有必定的保证。
 


 

  黄牙美白方法哪种有效果
 

  对于牙齿发黄的现象好的方法就是冷光美白术,冷光美白牙齿仅需45分钟,专利恒温渗透术,让美白作用渗透到牙釉质和牙本质,恒温控制在38摄氏度,加上碱性配方,美白过程健康舒适,没有不适应的感觉,只要美白后的顾客,不刻意去使用对牙齿有损害的物品活食物伤害,美白效果可持续3-5年以上。拥有洁白整齐牙齿,绽放自信微笑。 还有不明白的,点击免费咨询,或者拨打24小时贝臣美牙热线0591-88681777咨询,贝臣齿科医生为您解答!

温馨提示:
病情因人而异,以上信息仅供参考,请您一定到专业正规医院,接受医生的诊断与治疗。贝臣齿科提供网络咨询预约平台,可以向在线医生咨询您的情况。

在线咨询预约医生

在线咨询(免费咨询)在线近距离