科技的发展和快节奏的城市生活,使得城市里各行各业的从业人员苦于生活和工作的压力而忙碌不堪。“剩男”、“剩女”已经不是新鲜词汇,出于婚姻目的的相亲也越来越多。容貌的优劣直接导致了相亲的成功与否,一副好的牙齿更是长相的门面。在相亲的大潮中因为牙齿的缺失导致的失败者比比皆是,而李先生就是其中的一员。>>>点击免费咨询,或者拨打24小时美牙热线0591-88681777免费咨询,贝臣齿科医生为您解答!

缺失门牙,让我婚姻无望
现年28岁的李先生是一家公司的程序员。因为工作的性质和环境,不苟言笑的他直到过了本命年还没找到合适的对象。家里的父母很是着急,便联合他的几个姑嫂一起给他安排相亲。起初的几次见面,几个女生都对他印象挺好,各方面表现也比较满意。但是没一个有意愿想深交下去,原因就是他缺失了两颗门牙,这不仅影响美观而且看上去特别不舒服!
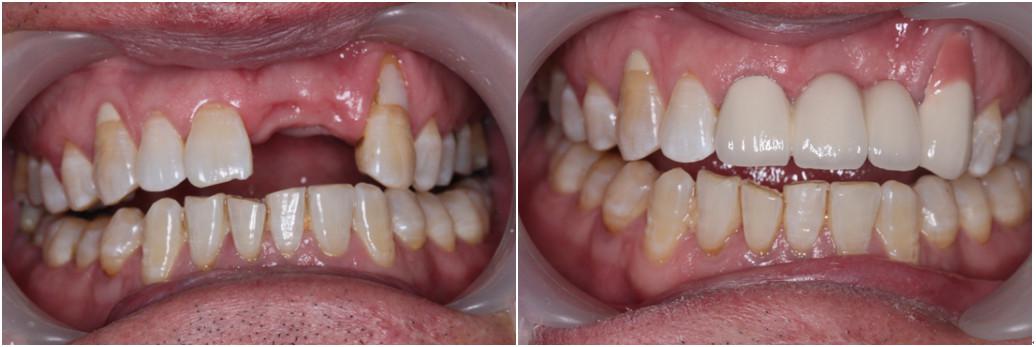
缺失门牙是李先生在一次下楼的途中意外的摔了一跤,磕碎了两颗门牙。因为疼痛难忍就直接去医院拔除了,当时并没有太在意。转眼过去了两年时间,因为没了门牙,吃饭和说话不方便,本来性格开朗的他变的沉默寡言。屡次因为门牙缺失导致的相亲失败也深深的打击了他,这让他为自己缺失门牙而痛苦不堪。>>>文字看累了?点击直接免费咨询吧!

门牙种植,让我找回自信
一次偶然的机会,李先生在上网的时候浏览了关于牙种植医院的相关信息,经过多家对比后,李先生觉得源自德国的贝臣齿科不错。在和在线医生进行简单的沟通后,发现他自己缺失的门牙竟然可以通过牙种植的方法重新找回来,而且医生介绍说贝臣齿科的第一颗德国精工种植牙使用寿命长达60年。这个发现让他喜出望外,权衡再三,他决定自己应该亲自去试试。在贝臣齿科,李先生受到了贝臣齿科工作人员的热情接待。
在工作人员的带领和解说下,李先生知道了在种牙前要先通过普兰梅卡全景CT机做一个口腔的全面检查,进一步了解后,才能制定方案。贝臣齿科种植牙首席医生罗维明教授给李先生制定了一套适合他的牙齿种植方案,经过详细的治疗,李先生的牙又重新“长”出来了。可喜的是,李先生在不久后就找到了两情相悦的另一半,并且定在了年底结婚,还送了喜帖给贝臣齿科,分享他的喜悦心情。
德国精工种植牙的优势>>>点击咨询详细了解德国精工种植牙!

优势一、坚固稳定:特殊结构的种植体和人体组织紧密“骨结合”,具有很强的固位力与稳定性。
优势二、不伤邻牙:种植时精密操作,精确到毫米,无疼痛且对临牙不伤害。
优势三、时间长久:贝臣齿科德国精工种植牙可达40年,如果保养得当可无限延长牙齿寿命。
而如今的李先生已经通过在贝臣齿科进行门牙种植重新获得了两颗门牙,这不仅使得他本人在相貌上得到很好的改善,而且整个人变的自信和开朗。种植门牙后不到一年,李先生就找到了自己的另一半,收获了自己的婚姻幸福。还有不明白的,点击免费咨询,或者拨打24小时贝臣美牙热线0591-88681777咨询,贝臣齿科医生为您解答!
在线咨询(免费咨询)在线近距离