放眼整个中国,牙齿缺失的人不在少数。或因为龋齿或因为意外事故,特别是随着年龄的增长,牙齿脱落也是司空见惯。但是有一种牙齿缺失却很特别,那就是先天性缺牙。那么,什么是先天性缺牙呢?
贝臣齿科医生指出:先天性缺牙是指人体在成长过程中,牙胚胎形成过程中未能发育和形成的牙。按照先天性缺牙的严重程度可将先天性缺牙分为缺牙症、少牙症、无牙症。很多人认为先天性缺牙是遗传来的,但是胚胎期牙板发育受到物理障碍或者牙板断裂也是先天性缺牙重要原因之一。>>>点击免费咨询,或者拨打24小时美牙热线0591-88681777免费咨询,贝臣齿科医生为您解答!

先天性牙齿缺失如果不即使的进行治疗,会给牙齿缺失者带来很大的危害:
1.影响美观、生活不便:先天性缺牙者因为牙齿缺失给相貌带来很大的影响,特别是门牙缺失和全口牙的缺失影响明显。在平日生活中因为缺牙而导致的说话、吃饭等一系列问题也日益凸显。
2.造成牙齿脱落:由于缺牙左右两边的牙齿无法获得它们原先常有的支撑压力,它们会在牙龈中变得倾斜不正,使牙齿逐渐松动,导致部分牙齿脱落。
3.食物嵌塞:正常牙齿与牙齿之间,排列得十分紧密,邻近的牙齿移动后,牙齿与牙齿会出现缝隙,容易使食物嵌塞到牙齿间隙里,引起口臭、龋齿、牙周病等。
4.咀嚼功能减退:牙齿缺失后,余留牙齿发生了一系列变化,使原本良好的咬颌关系发生变化,由于余留牙之间有效功能面积相应减少,咀嚼效能降低。>>>文字看累了?点击直接免费咨询吧!

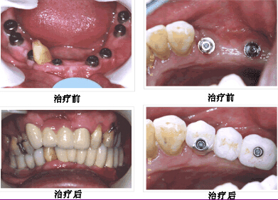
成功案例回放:
小张虽然现年三十岁了,但是因为他先天性缺牙导致了他如今还没有成婚。因为缺失的是门牙附近的几颗牙齿,使得他错过很多机会。大学毕业去应聘就职,虽然成绩 ,但是很多公司都不录用他。而且因为缺牙的缘故,现在迟迟没有能找到对象。
“虽然我也尝试去戴假牙,但是因为受不了那种刺激老是呕吐,为此特别苦恼。”每当提到这件事情,小张都痛苦不已。后来,小张在朋友的推荐下来到了贝臣齿科。在那里他接受了德国精工种植牙,使得先天缺失的牙重新被“找回”,他的生活和工作回到了正轨并向好的方向发展着。>>>点击咨询详细了解德国精工种植牙!

先天性缺牙对于成人来说,可以选择很多种美牙方法修复牙齿,其中种植牙是相对来说比较好的方法。据贝臣齿科的医生介绍,德国精工种植牙是将牙深植牙骨内,可承受正常的咀嚼力量,功能和美观上几乎和自然牙一样,具有坚固稳定、不伤邻牙、寿命长久的特点。因此,这种深受广大牙齿缺失者青睐。
贝臣齿科医生温馨提示:先天性缺失做种植牙既美观,又稳固。不过选择种植牙和口碑好的机构是其中的关键!贝臣齿科祝您早日拥有一副健康完美的牙齿!还有不明白的,点击免费咨询,或者拨打24小时贝臣美牙热线0591-88681777咨询,贝臣齿科医生为您解答!
在线咨询(免费咨询)在线近距离