半口种植牙与镶牙的区别是什么
来源:贝臣齿科
2017-06-26 14:28
进入答疑区

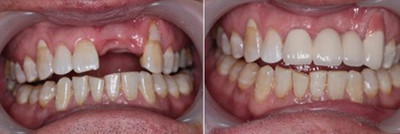
  想要具体了解半口种植牙与镶牙的区别是什么 点击【在线咨询】直接问医生!方便!快捷齿半口缺失很难看,种植牙好还是镶牙好?镶牙是一种传统的牙齿修复术而半口种植牙是把人工牙根种到缺牙部位的牙床里,当牙根与牙床长牢后,再在牙根上连接一颗逼真的烤瓷牙。那么半口种植牙与镶牙的区别是什么?
 

  半口种植牙作为一项从欧美新引进的高科技牙齿修复术,能将缺失的牙齿“种”出来,恢复一口整齐、强健的牙齿,以其坚固、耐用、仿真、舒适等特点,得到无数牙齿缺失患者的信赖。直接与医院在线医师一对一通话,方便!快捷!了解详情就医指导。
 


 

  半口种植牙与镶牙的区别是什么?
 

  提到牙齿缺损修复,很多人首先会想到镶牙而不是半口种植牙。与半口种植牙相比,镶牙是一种传统的牙齿修复术,经过长时间的发展已经比较成熟。而半口种植牙作为新兴的牙齿修复术,很多人对于半口种植牙的效果还有一定的担忧。另外,半口种植牙由于水平先进,所需的材料也比较高级,其费用比传统镶牙会高一些。这也是造成人们更倾向于镶牙的一个原因。点这里,直接预约医生!方便快捷!
 

  其实,与传统假牙相比,半口种植牙具备相当多的优势。目前,人们对牙齿美观的要求越来越高,半口种植牙的水平发展的也越来越纯熟,传统镶牙技术正在逐渐被半口种植牙术所取代。半口种植牙以其稳固、耐用、美观、不损伤邻牙等优点深受牙齿修复患者朋友的青睐。
 


 

  半口种植牙注意事项
 

  1、种植牙手术前的常规检查:检查缺牙的部位、间隙大小、牙槽骨的宽度、牙槽嵴状况、粘膜组织状况,根据其大小宽度和高度选择能否种植和种几个种植体。
 

  2、种植前设计:种植手术前,首先要拍照片取模型等资料收集工作,确定修复的类型,种植系统,种植体的数量、位置、方向、长度,然后制作出种植手术用模板,使手术能准确顺利地进行。
 

  3、种植牙手术之前还要适量使用一些抗生素,使其能较好地抑制细菌,以免影响到种植牙的手术效果。

温馨提示:
病情因人而异,以上信息仅供参考,请您一定到专业正规医院,接受医生的诊断与治疗。贝臣齿科提供网络咨询预约平台,可以向在线人员咨询您的情况。

在线咨询预约医生

在线咨询(免费咨询)在线近距离

点击右侧按钮查看其它视频
点击右侧按钮查看其它视频

24H免费咨询电话

贝臣节假日无休

福州贝臣齿科 — 专做口腔

福州贝臣齿科是卫生部门批准成立的专业口腔诊疗机构。在全国各大城市CBD商务核心区...[详细]

推荐医生

  • 阿诺德·马丁贝臣齿科(中

  • 穆素花贝臣世茂院技

  • 林劲松贝臣世茂院牙

  • 陈振林贝臣世茂院正

  • 阿诺德·马丁贝臣齿科(中

  • 穆素花贝臣世茂院技

  • 林劲松贝臣世茂院牙

  • 陈振林贝臣世茂院正

口腔热门项目推荐

  • 牙齿种植
  • 牙齿矫正
  • 牙齿修复
  • 牙齿美白
  • 无痛治疗
  • 儿童齿科

来院路线

来院路线
地址:福州世茂国际中心1号楼3层(地铁茶亭站D出口)